八重歯を治して口元も引っ込めたい

ここでは、この方の治療の詳細について記していきます。
・・・・・・・・・・・・・・・・・・・・
患者さんは、20代の女性(社会人)です。
「八重歯などのガタガタを治してきれいな歯並びになりたい!」
というのが一番の希望でした。
合わせて、お口を楽にすると開いてしまい、上の前歯が見えてしまうのも何とか出来れば嬉しい!とのことでした。
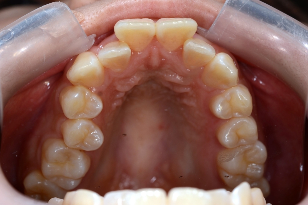
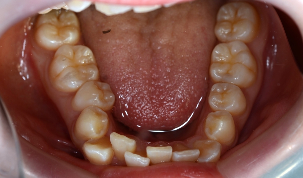
【Before】







レントゲン写真で確認すると、


この患者さんの場合、
【診断】
#1.顎と歯の不調和による叢生
#2.上顎前突(出っ歯)
と診断しました。
【治療方針】
1.上下の左右の奥歯を抜歯をしてスペースを作り、前歯をきれいに並べる
2.残る隙間分は、
上顎では、できるだけ前歯を奥へ引っ込める
(補強としてアンカースクリューを併用)
下顎では、前歯と奥歯の両方が動いて隙間を閉じる
という治療計画にて、矯正を進めることにしました。
*お口を楽にすると、口を閉じたつもりでも前歯が見えてしまうのは、歯列が前方に位置しているためです。
上の前歯を可及的に引っ込ませることで、楽にお口を閉じれるように、即ち、楽にしていても前歯が見えないようになることを狙います。
【抜歯】
上下の左右の奥歯を1本ずつ計4本抜歯(4番目の奥歯を抜きました)
(上下とも智歯はありません)
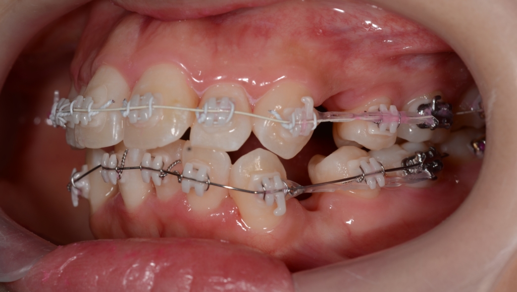
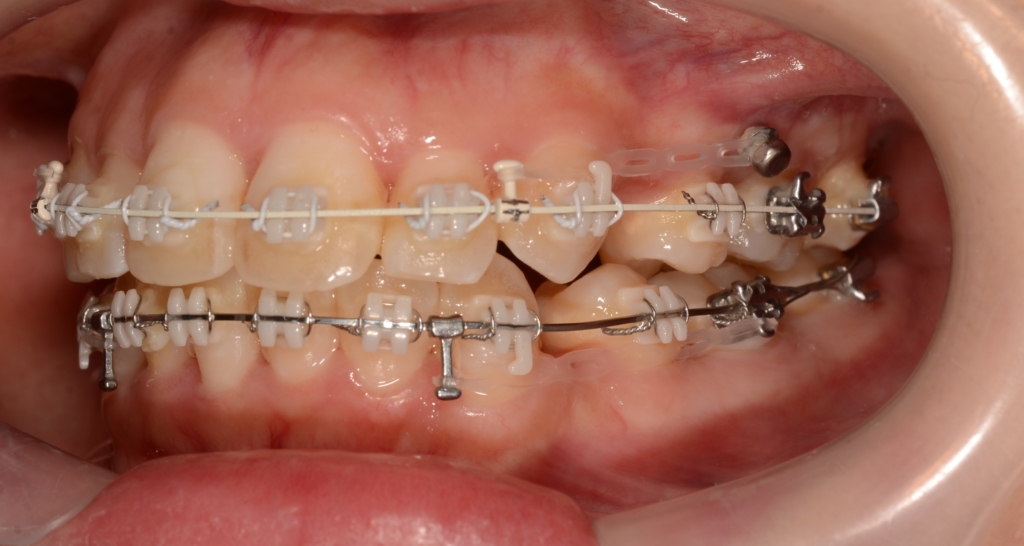
【治療装置】
マルチブラケットシステム(ハーフホワイトtype)で矯正を開始。


*ハーフホワイトtype:上下とも歯の表側に白いブラケットを付けて、上には白いワイヤー&下には銀色のワイヤーを用いたストレートワイヤーによる歯列矯正
【5か月経過】

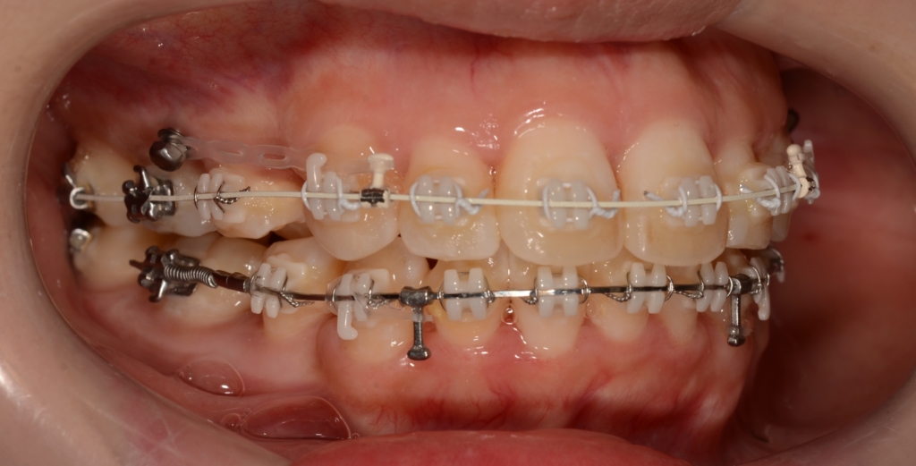
【隙間の閉鎖へ】
上下とも前歯はきれいに並びましたので、次のステップに移ります。
「口元がちょっとでも引っ込んで欲しい!」という」希望があったので、アンカースクリューを併用して治療を進めることにしました。
【アンカースクリューの植立】

治癒期間を待ったうえで、前歯を積極的に引っ込めながら、残る抜歯スペースを閉じます。


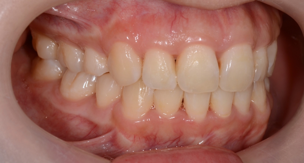
【After】

「もう十分です」という患者さんの声に許してもらいました







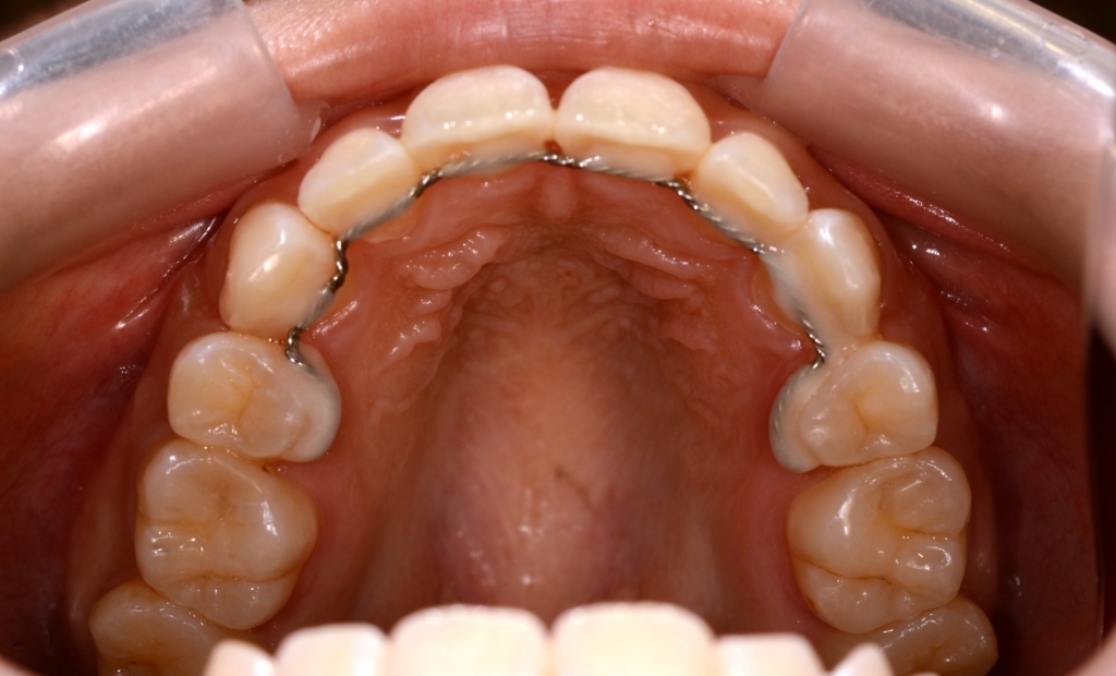
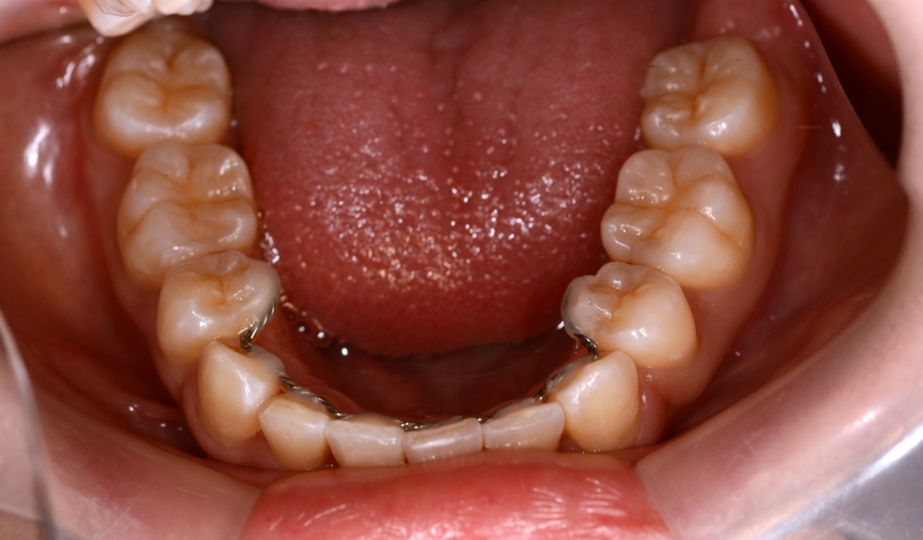
【保定】 上下ともフィックスタイプ&クリアリテーナー
【治療期間】 1年8か月間
【治療費用】 82万8300円
(ハーフホワイトtypeのマルチブラケットシステム
アンカースクリュー2本
あらためて、矯正治療前後の歯並びと口元の変化を比べてみましょう。
まずは、歯並びの変化です。

レントゲン写真でも矯正治療前後を比較してみましょう

レントゲンで見ると、治療前後で口元の変化は小さいように見えますが・・・
矯正治療前後の口元及び横顔を比較してみましょう。

上のレントゲン写真で見るよりも、顔写真で見る方が口元はスッキリして、顎もしっかりできたことが分かります

口元がスッキリして、オトガイにあった梅干し状のシワもほぼ無くなりました
矯正治療により、きれいな歯並びと良い噛み合わせを獲得することが出来ました。
今回は口元の変化をも狙った矯正治療でしたので、アンカースクリューを併用するなど、目的に応じた治療計画に乗っ取って進めました。
歯並びはもちろん、口元もスッキリさせることが出来、患者さんにも喜んでもらえました。
























