ガミースマイルと口ゴボを治したい

左側が矯正治療前、右側が矯正治療後
オトガイ部にあった梅干し状のシワもほぼ無くなったことが分かります。

左側が矯正治療前、右側が矯正治療後
ここでは、この方の治療の詳細について記していきます。
・・・・・・・・・・・・・・・・・・・・
患者さんは、20代の女性(社会人)です。
「ガミースマイルを治したい!
そして、口元が出ているごぼ口も引っ込めたい!」
という希望でした。
【Before】








レントゲン写真で確認すると、


この患者さんの場合、
【診断】
#1.上顎前歯部が下方へ位置していることによるガミースマイル
#2.上下顎前突(歯槽性)
噛み合わせの関係はノーマル。
と診断しました。
【治療方針】
1.先ず、上の歯列全体を圧下させて、ガミースマイルの改善を図る
(患者さんの第一希望!)
2.次いで、上下とも奥歯を抜歯して、上下の前歯を最大限に後方へ移動
(上の奥歯ではアンカースクリューを補強として使用する)
という治療計画にて、矯正を進めることにしました。
【抜歯】
通法通り上下の左右の奥歯を1本ずつ計4本の便宜抜歯
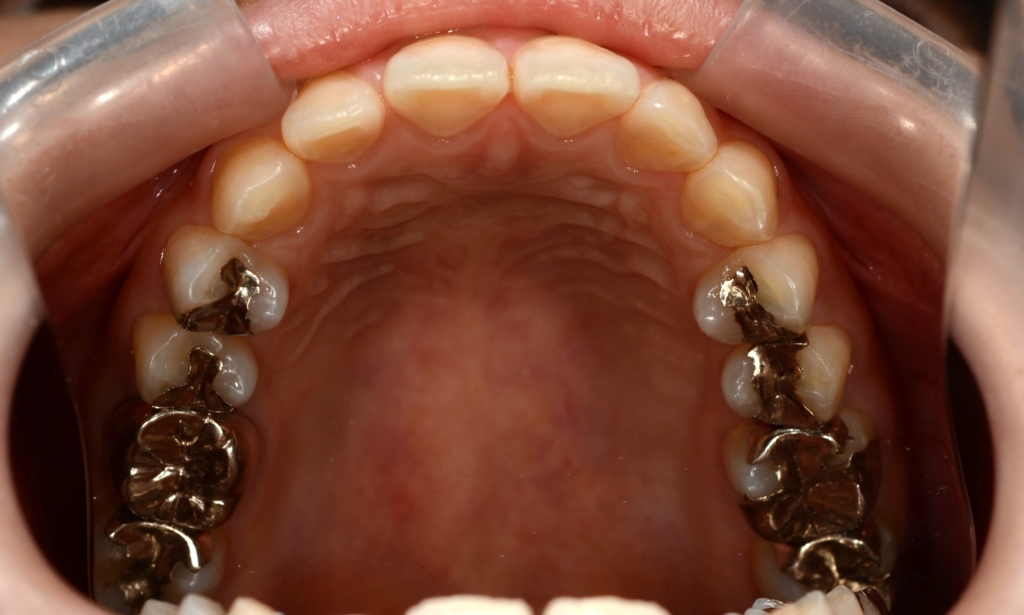
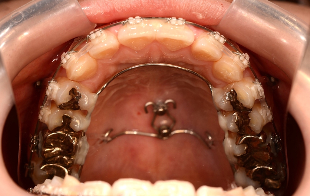
【治療装置】
マルチブラケットシステム(スタンダードtype)で矯正を開始
アンカースクリュー:
上顎に計6本(前歯に2本、奥歯に2本、口蓋に2本)使用
【治療開始】

患者さんの治療の優先順位として、ガミースマイルの改善が第一希望でした。
そこで、先ずは上顎のみ装置を付けて、矯正治療を開始しました。
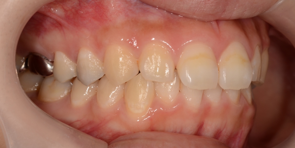
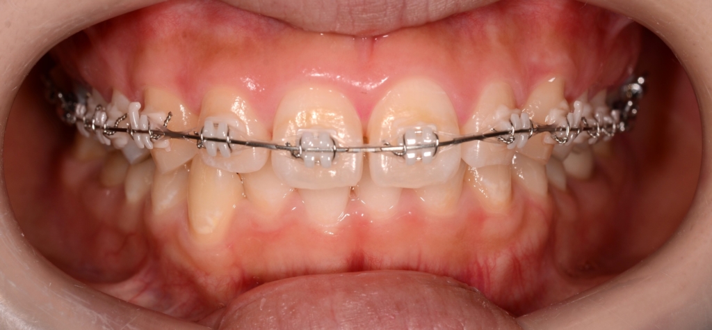
【ガミースマイルの改善】
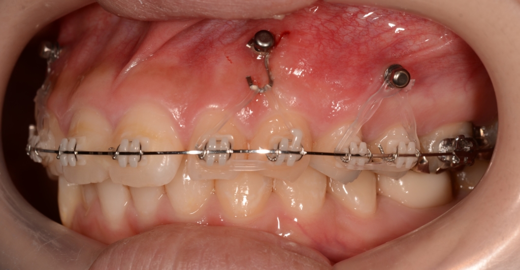
ステップが進み歯列が揃ったところで、ガミースマイル改善のために、上顎にアンカースクリューを植立することにしました。
部位は、上顎の口蓋の真ん中、臼歯部(左右側とも)と前歯部の頬側、になります。


アンカースクリューを用いて矯正力を加えることで、上顎歯列全体を圧下させて、ガミースマイルの改善を図ります。




順調に矯正治療は進み、ガミースマイルはほぼ改善されました。
治療に伴う歯肉の変化をお見せしましょう。

上段が圧下治療開始時点、下段が圧下治療終了後 になります。
アンカースクリューは動きませんから、上記の写真を見れば、圧下治療に伴い前歯が周りの歯肉ごと押し込まれて歯肉の見え方が狭くなったことが一目瞭然で分かると思います。
便宜上、「圧下」という言葉を使いますが、「持ち上げる」という言葉の方が実態を表しているかもしれません。
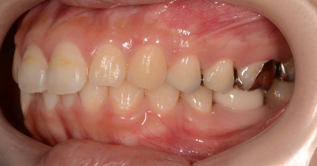
【前歯を引っ込める】
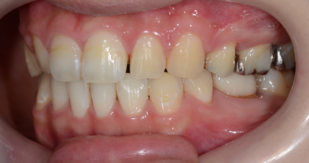
次は第二希望である「口ゴボの改善」のために、抜歯を行い、上下とも前歯を最大限に引っ込めるように治療を進めます。
圧下の時に使ったアンカースクリューがそのまま利用できたことは幸いでした。


合わせて仕上げの調整を入れたり・・・ちょこちょこと修正を挟みながら、治療はエンドロールへ向けて進みます。
【After】

変な悪目立ちをするものはありません





装置を外す準備をした時点では無かったのに、外した時点で隙間が生じてしまいました。
もちろん、この後に部分的に再矯正治療をして、隙間を閉じたうえで改めて治療を終えています。


矯正後の状態をレントゲン写真で確認すると、

【保定】 上下ともフィックスタイプ&クリアリテーナー
【治療期間】 3年6か月間
【治療費用】 87万6千円
【治療装置】 スタンダードtypeのマルチブラケットシステム、
アンカースクリューを計6本
PLAS & パラタルバー
今回も、色々ありましたが、口元も笑顔も良い方向へ大きく変えることが出来ました。
矯正治療に伴い笑顔や横顔、口元の雰囲気はガラリと変わり、満足してもらえたようで何よりでした。
では、矯正治療前後の「レントゲン写真」や「笑顔、口元の写真」などを比較してみましょう。
まずはレントゲン写真の比較です。

左側が矯正治療前、右側が矯正治療後
次は、笑顔や横顔・口元の比較です。

左側が矯正治療前、右側が矯正治療後
イメージの違いは一目瞭然ですね!

左側が矯正治療前、右側が矯正治療後
オトガイ部にあった梅干し状のシワがほぼ無くなったことが分かります。

左側が矯正治療前、右側が矯正治療後
矯正後は口元がとてもスッキリしたことが見て取れると思います。


























