口ゴボを治したい

左側が矯正治療前、右側が矯正治療後
ここでは、この方の治療の詳細について記していきます。
・・・・・・・・・・・・・・・・・・・・
患者さんは、20代の女性(社会人)です。
「口ゴボで出ている口元を引っ込めたい!」というのが主訴です。









この患者さんの場合、
【診断】
#1.上下顎前突
と診断しました。
【治療方針】
1.上下左右の奥歯を1本ずつ抜歯してスペースを作り、前歯の軽微な乱れを改善
2.残りのスペース分を使い、上下前歯を最大限に後方へ移動
(そのために上顎ではアンカースクリューを併用する)
という治療計画にて、矯正を進めることにしました。
【抜歯】
上下の左右の奥歯を1本ずつ計4本抜歯(すべて前から4番目の第一小臼歯を抜きました)
右上の智歯は早期に抜歯をしますが、下顎の智歯は様子を見ます
【治療装置】
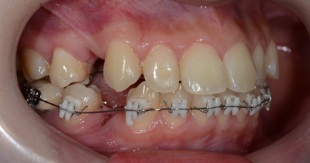
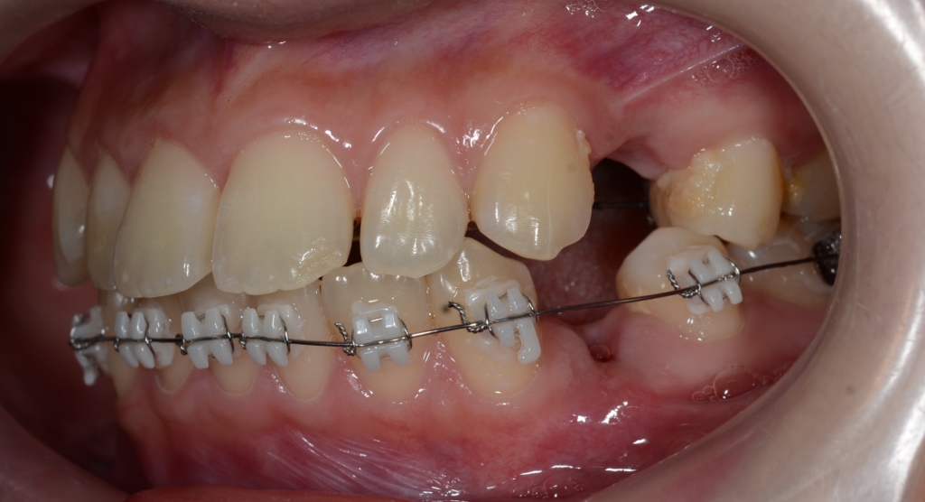
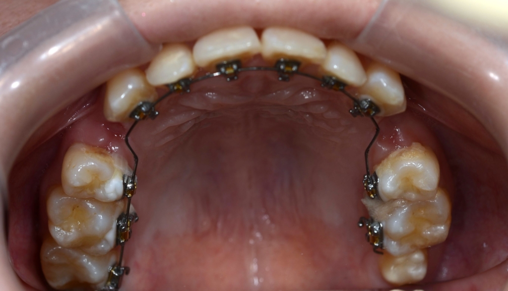
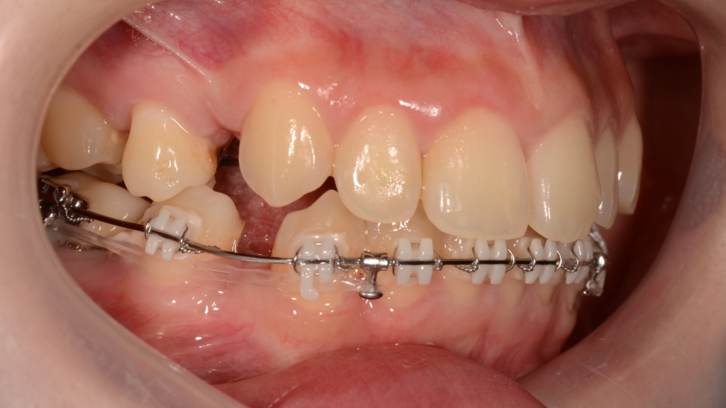
マルチブラケットシステム(ハーフリンガルtype)で矯正を開始。
アンカースクリューを2本使用



順当にステップが進んで、前歯を奥へ引っ込めるためのアンカースクリューを上顎の口蓋中央部分に植立します。

上下とも前歯を奥へ出来るだけたくさん引っ込めるように治療を進めます。



その後、更なる点数アップを目指して仕上げの調整を続けました。
その際に裏側矯正による調整が上手く行かず困難だったため、止むを得ず「歯の表側に白いブラケット&白いワイヤー」を付けて、仕上げの調整を行いました。(約半年間)
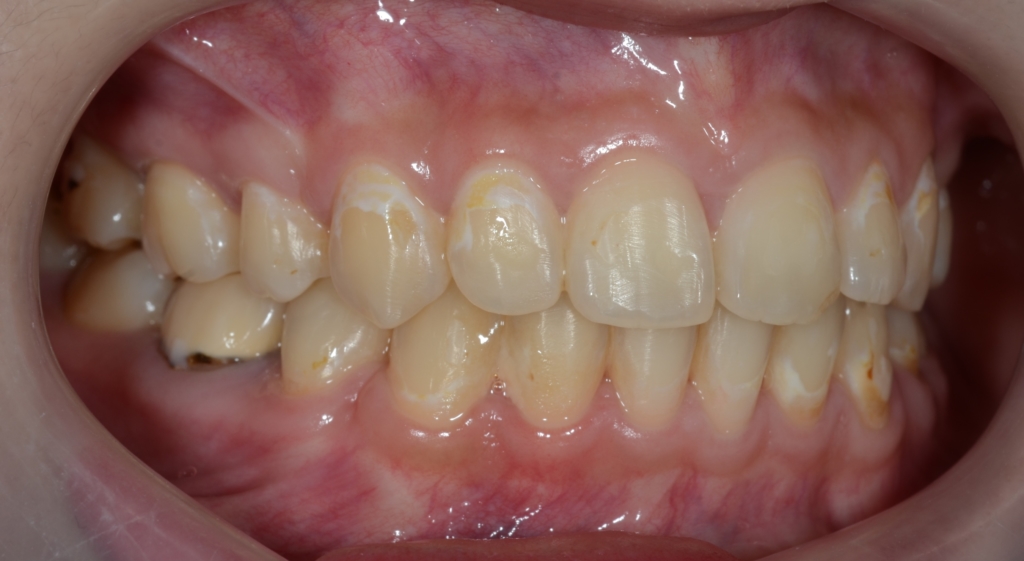
【After】








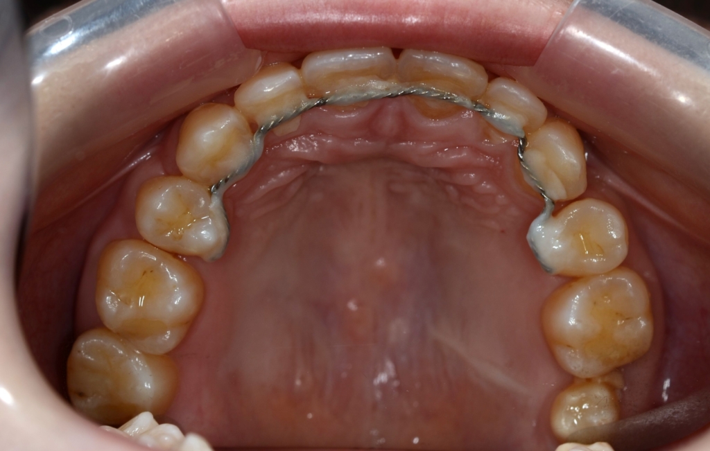
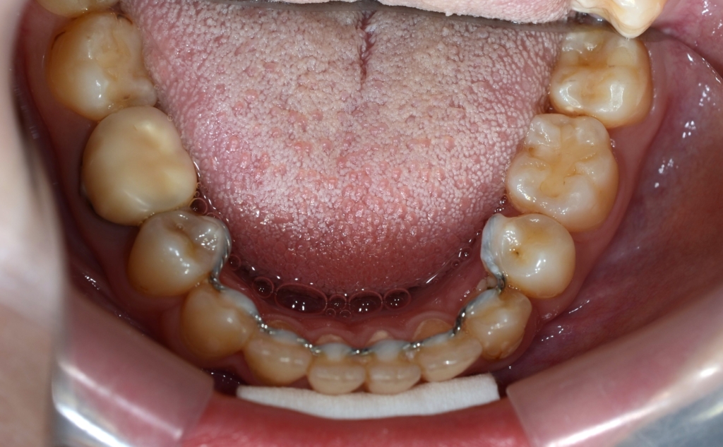
【保定】 上下ともフィックスタイプ&クリアリテーナー
【治療期間】 2年10か月間
【治療費用】 円
【治療装置】 ハーフリンガルtypeのマルチブラケットシステム
アンカースクリューを2本
矯正治療の結果、狙い通りに口元をスッキリさせることが出来て、横顔もEラインに収めることが出来ました。
参考までに、矯正治療の前後を比較してみましょう。
まずは、横顔と口元の比較です。

左側が矯正治療前、右側が矯正治療後

左側が矯正治療前、右側が矯正治療後
矯正後は鼻唇角も開き、口元のスッキリ感を強調しています
真横から見るよりも、斜めから見た方が口元の変化が分かりやすいと思います
レントゲン写真でも比較してみましょう

左側が矯正治療前、右側が矯正治療後
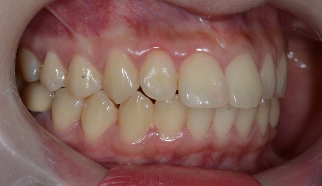
ついでに、歯並びの比較です

上段が矯正治療前、下段が矯正治療後

























