口ゴボを引っ込めたい

左側が矯正治療前、右側が矯正治療後
ここでは、この方の治療の詳細について記していきます。
・・・・・・・・・・・・・・・・・・・・
患者さんは、20代の女性(社会人)です。
「口元をいっぱい引っ込めて、口ゴボを治したい!」
というのが主訴です。
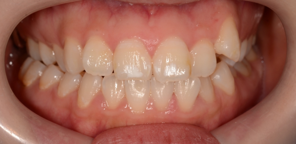
【Before】







レントゲン写真で確認すると、


この患者さんの場合、
【診断】
#1.上下顎前突
#2.歯と顎の不調和による叢生(軽度)
と診断しました。
【治療方針】
1.上下の左右の奥歯を1本ずつ(計4本)抜歯をしてスペースを作り、
上下の前歯を最大限に後方へ引っ込める
(上顎においては、アンカースクリューを併用)
(左上の埋伏した智歯は早期に抜歯、右上はあえて様子見。)
2.次いで、もっと口元を引っ込めたいならば、
上顎の口蓋と下顎の智歯を抜歯したその後方へアンカースクリューを植立して、
上下の歯列ごと更に後方へ移動を図る
という治療計画の下、矯正を進めることにしました。
【治療装置】
マルチブラケットシステム(フルホワイトtype)で矯正を開始。
【治療開始】
早速抜歯をして治療を始めたいところですが、「金属アレルギーがあるかも?」という疑念がありました。 そこで抜歯をせず、目立ちにくい下の歯列にのみ装置を付けワイヤーを通して、1か月以上様子を見て判断することにしました。
この判断には、元々上の奥歯に金属の差し歯が入っており、現状では何のアレルギー症状も無いという背景があったため、皮膚科でのアレルギー検査を省いています。 結果として約半年間様子を見て、問題が生じないことを確認しました。(通常は1,2か月間のことが多いです)
そこで、あらためて抜歯をして、上の歯列にも歯に装置を付けワイヤーを通して、矯正治療を開始しました。

この方の写真が見つからないので、同じことをしている他の方の写真をイメージ写真としてあげています
上下とも前歯がきれいに並んで、引っ込めるステップに入る目途がついたので、上の奥歯辺りにアンカースクリューを植立しました。

上下とも前歯を後方へ最大限に引っ込めて行きます


【途中経過】 当初に抜歯をして出来たスペース分は、しっかりと引っ込めることが出来ました。
現状としては、ここまで口元が引っ込みました。

最初と比べてみると、

患者さんとも話して、「再び4本抜歯は嫌だけど、もうちょっとでも引っ込められるなら、頑張りたい!」という希望でした。
そこで、アンカースクリューを追加して歯列ごと更に引っ込めることにしました。
・上顎の口蓋の中央部に2本
・下顎の智歯を抜歯してその奥に1本ずつ(計2本)


上の歯列を更に後方へ移動させるためには、右上の埋伏した智歯が邪魔でした。

しかし、その歯は神経を取り、内部を大きく削り残った歯質が薄くなり弱くなっています。
さらに言うと神経を取る治療にステップで治療器具を折れ込ませてしまったようです。
普通なら埋伏している智歯を抜歯するのですが、今回、手前の奥歯の条件が悪かったので、あえて手前の差し歯になっている奥歯(赤い線で囲われた歯)を抜歯して、埋っている智歯(青い線で囲われた歯)を残して、将来萌出してきて咬合に参加する未来を期待することになりました。
上顎のアンカースクリューには、PLAS & 奥歯の内側にはパラタルバーを付けて
下顎のアンカースクリューには、よじったワイヤーフックを付けて
上下の歯列(歯並び全体)を出来るだけ後方へ引っ込めて行く「矯正力」を加えて、治療を再開しました。



スイマセン・・・
この方の写真を探したのですが見つからないため、全く同じことをしている患者さんの写真を「イメージ写真」として代用しています。
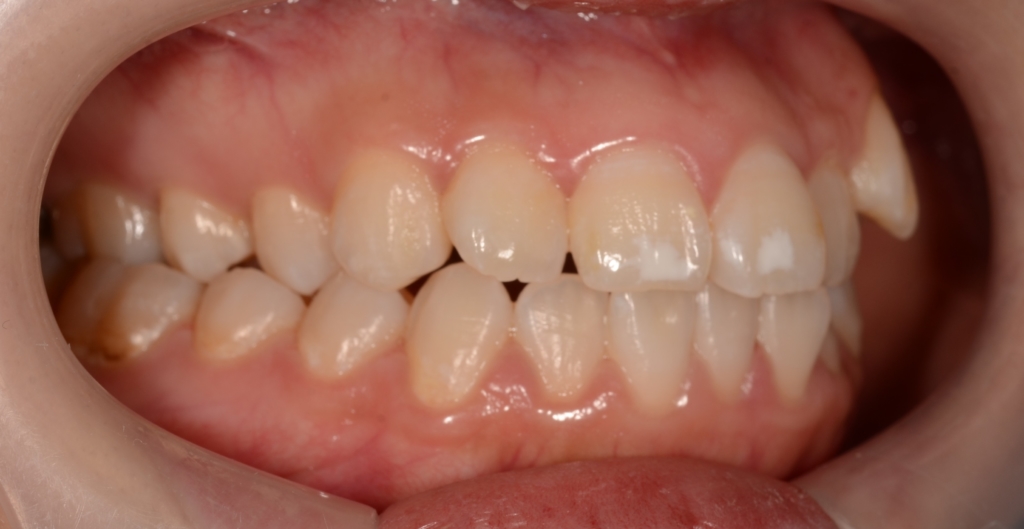
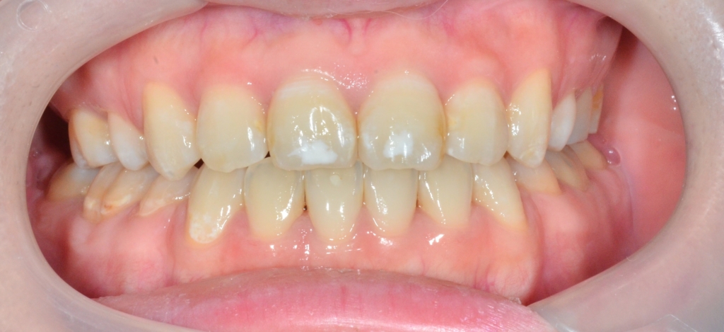
【After】







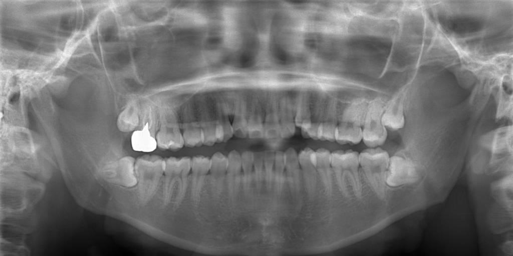
矯正後の状態をレントゲン写真で確認すると、

【保定】 上下ともフィックスタイプ&クリアリテーナー
【治療期間】 4年間
【治療費用】 約99万円
・フルホワイトタイプのマルチブラケットシステム
・アンカースクリューを計6本
・PLAS&パラタルバーを使用 【抜歯】
上下の左右の奥歯を1本ずつの計4本(全て第一小臼歯)を抜歯
(さらに左上と下顎の左右の智歯、右上の奥歯(第二大臼歯)をも抜歯しました)
歯並びがキレイになったことはもちろん、口元や横顔もとてもスッキリさせることができました。
治療前後のお顔の写真を見てもらえれば、その変化が良く分かると思います。
治療前は明らかに飛び出ていた口元が、治療後は十分に引っ込み、しっかりEラインに収まってスッキリしています。
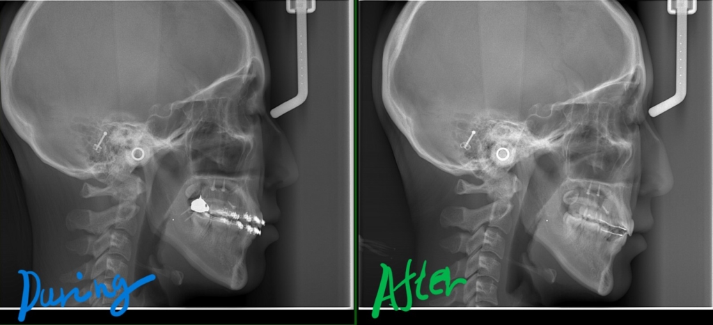
最後に、矯正治療前後の「レントゲン写真」と「口元の写真」の比較をお見せしましょう。


口元の変化がハッキリと分かります

口元が飛び出た感じも無くなりました
色々ありましたし、頑張ってももらいましたが、患者さんにもとても満足してもらえました ♪
この患者さんにおいては、通常の抜歯で得られたスペース分を引っ込めた後、奥の智歯を抜歯してアンカースクリューも併用しながら更に奥へ引っ込める!という治療プランを実行しました。
それでは、その間の変化をレントゲン写真で見てみましょう。

右側が智歯を抜歯してアンカースクリューを併用しながら歯列全体を引っ込めた後の状態、
歯列の途中の奥歯を抜歯するほどには変化させられませんが、智歯という普通は抜歯だけで済ませる歯を利用することで、このように「もう一声!」口元の変化を起こすことも可能です。

























