デコボコを治したい!

上段が矯正治療前、下段が矯正治療後

左側が矯正治療前、右側が矯正治療後
ここでは、この方の治療の詳細について記していきます。
・・・・・・・・・・・・・・・・・・・・
患者さんは、20代の女性(社会人)です。
「前歯の八重歯をきれいにしたい!」というのが一番の主訴です。
口元については、引っ込めたい!というほどではないが、せっかくなので今よりもスッキリした感じになると嬉しい、というものでした。
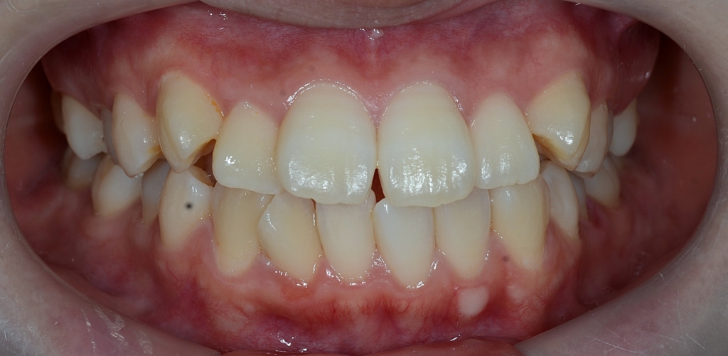
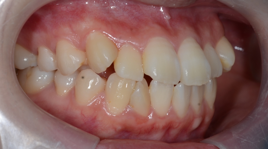
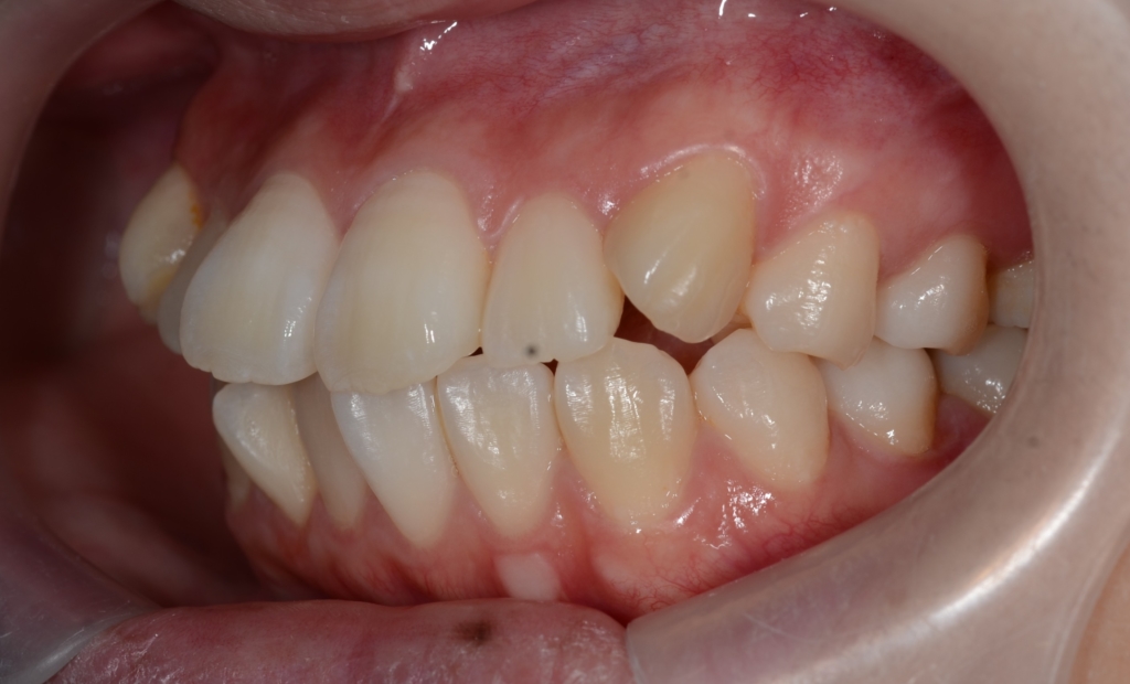
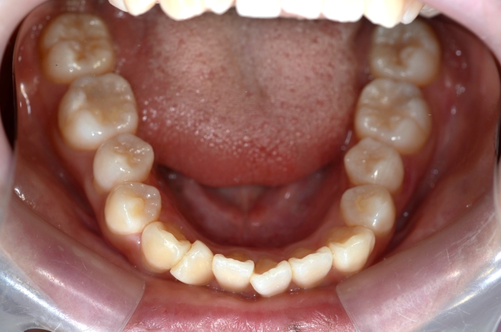
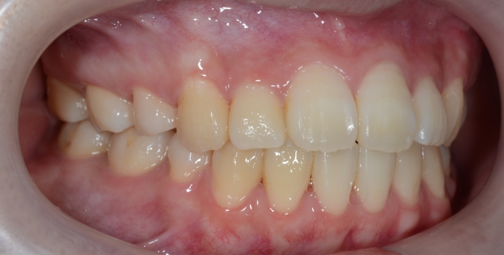
【Before】









この患者さんの場合、
【診断】
#1.歯と顎の不調和による叢生(軽~中等度)
と診断しました。
【治療方針】
1.上下左右の奥歯を1本ずつ抜歯してスペースを作り、前歯の乱れを改善
2.残りのスペース分を使い、上下前歯を可及的に後方へ移動
という治療計画にて、矯正を進めることにしました。
【抜歯】
上下の左右の奥歯を1本ずつ計4本抜歯(すべて前から4番目の第一小臼歯を抜きました)
左上の埋伏している智歯は治療開始後早期に抜歯します。
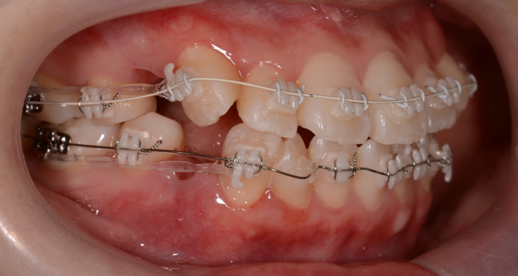
【治療装置】
マルチブラケットシステム(ハーフホワイトtype)で矯正を開始。


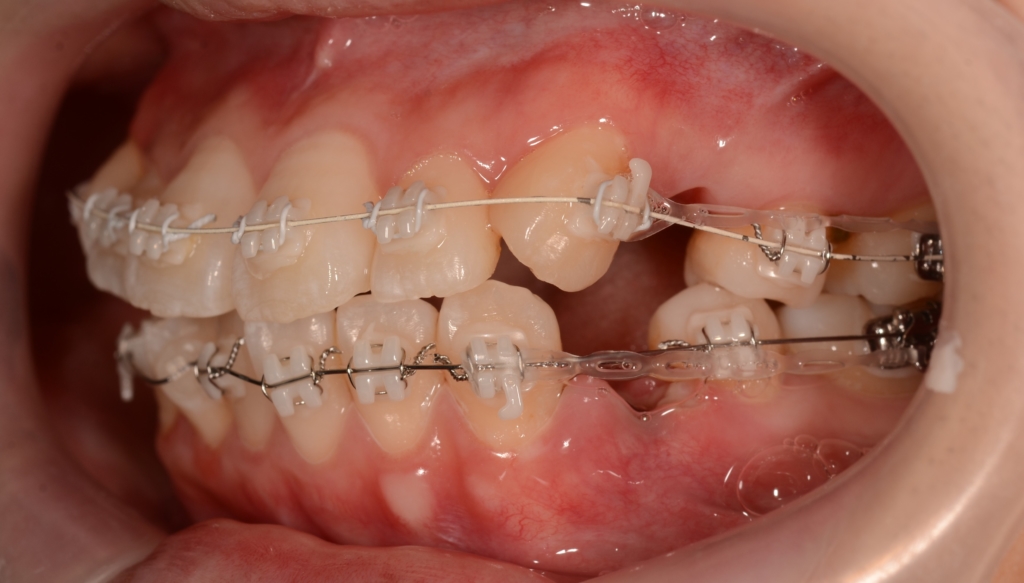
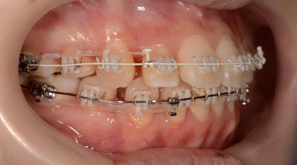
上下とも前歯を奥へ出来るだけたくさん引っ込めるよう治療を進めます。


その後、更なる点数アップを目指して仕上げの微調整を続けました。
左側に出っ歯の噛み合わせが残っていたので、左側のみ顎間ゴムを半年間頑張ってもらいました。
また、途中、妊娠&出産が重なり体調を崩したこともあり、約1年弱にわたり通院が出来なくなるなどいろいろありましたが、何とかゴールに滑り込みました。
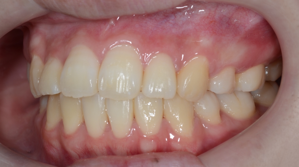
【After】


という優しい言葉で許してもらいました。





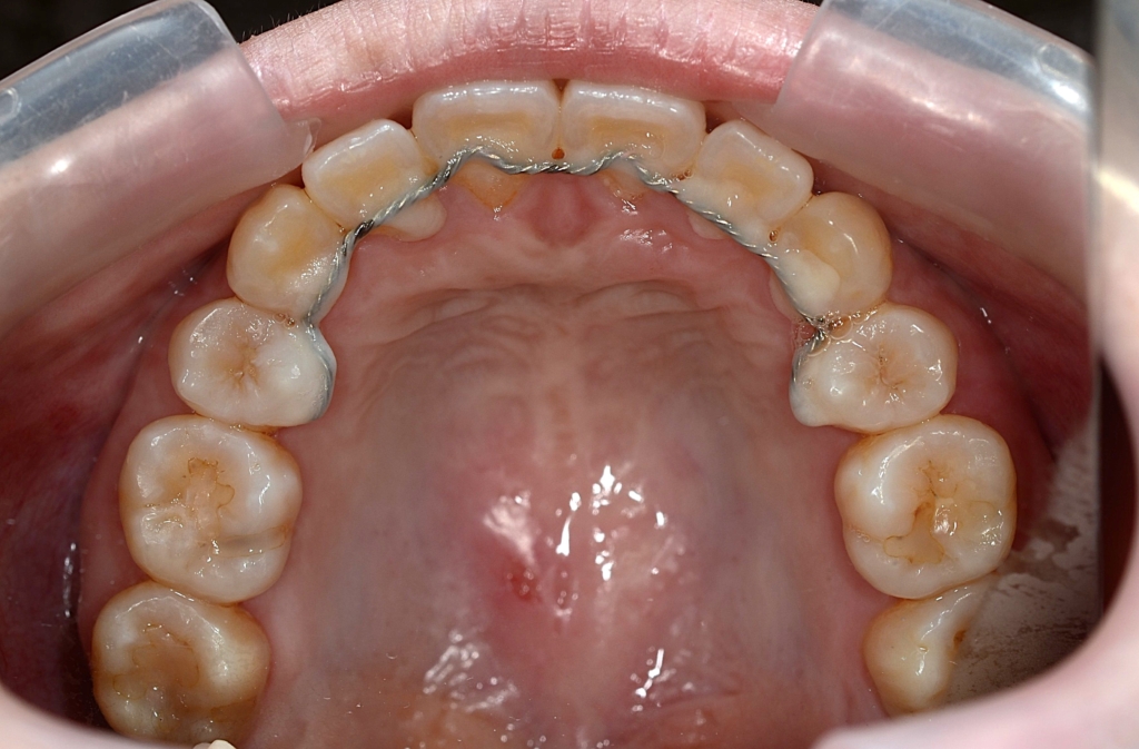
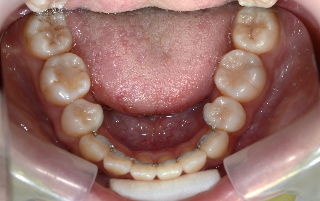
【保定】 上下ともフィックスタイプ&クリアリテーナー
【治療期間】 2年10カ月間
【治療費用】 81万円
ハーフホワイトtypeのマルチブラケットシステム
矯正治療の結果、狙い通りに口元をスッキリさせることが出来ました。
お口を閉じるのにも「力」が要らなくなり、楽に閉じれるようになった!と喜んでもらいました。
また、Eラインに収めることは出来ませんでしたが、患者さん的には引っ込み過ぎるは嫌なので、元々あった口元の突出感も無くなり、このくらいがちょうど良い!とのこと。
参考までに、矯正治療の前後を比較してみましょう。
まずは、横顔と口元の比較です。

左側が矯正治療前、右側が矯正治療後
レントゲン写真でも比較してみましょう

左側が矯正治療前、右側が矯正治療後
ついでに、歯並びの比較です

上段が矯正治療前、下段が矯正治療後
今回、口元はそんなに引っ込めなくても良いという希望だったので、それに適した矯正「力」の加え方をして治療を進めました。
もしも、一杯引っ込めたい!という希望であれば、アンカースクリューの使用も含めて、その希望に適した矯正「力」の加え方をして、治療を進めることになったと思います。
同じ状態であっても、人により「悩み」も「目指すゴール}も異なります。 スタート地点とゴールが違えば、治し方も変わります。 そのあたりは初めのカウンセリングの時点でよく話をして、患者さんと共有したうえで、治療に着手しています。
























