八重歯を治して口元も引っ込めたい

ここでは、この方の治療の詳細について記していきます。
・・・・・・・・・・・・・・・・・・・
患者さんは、20代の女性(社会人)です。
「八重歯などのガタガタを治してきれいな歯並びになりたい!」
というのが一番の希望でした。
可能なら口元がちょっと引っ込めばもっと嬉しい、というものでした。
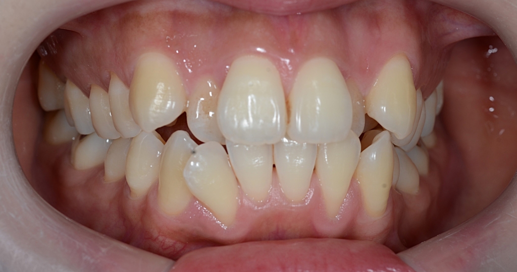
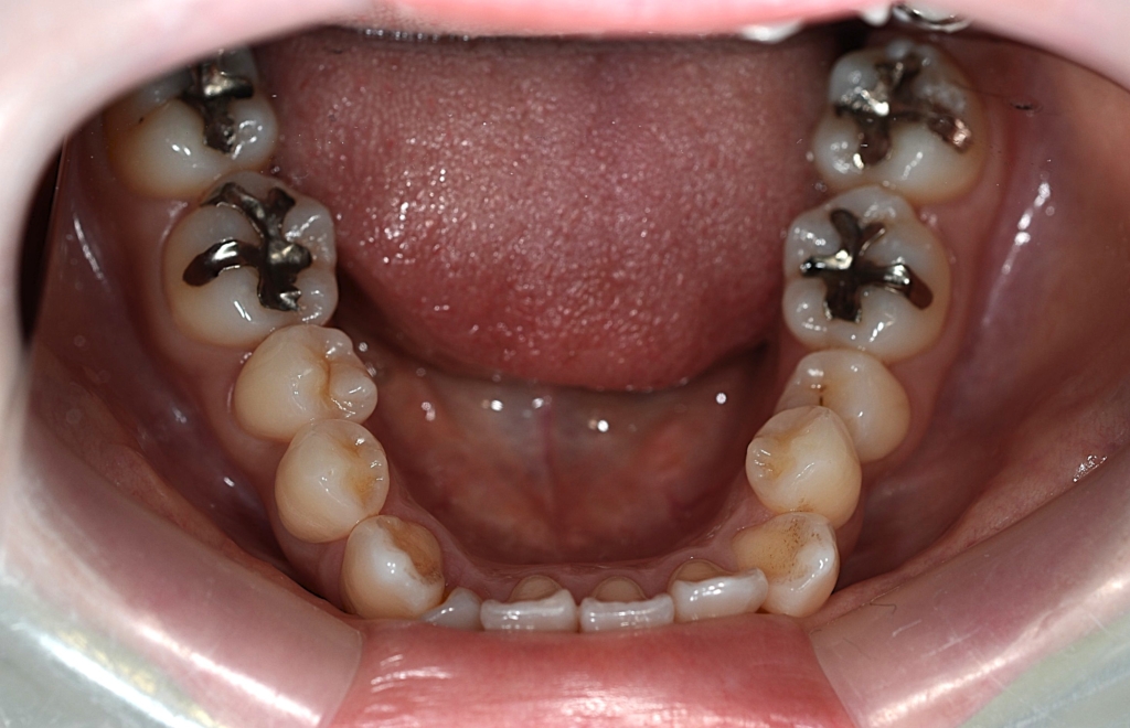
【Before】







レントゲン写真で確認すると、


この患者さんの場合、
【診断】
#1.顎と歯の不調和による叢生(重度)
#2.上顎前突(奥歯の噛み合わせ)
と診断しました。
【治療方針】
1.上下の左右の奥歯を抜歯をしてスペースを作り、前歯をきれいに並べる
2.残る隙間分は、
上顎では、できるだけ前歯を奥へ引っ込める
下顎では、上下の噛み合わせを考えて隙間を閉じる
という治療計画にて、矯正を進めることにしました。
【抜歯】
上下の左右の奥歯を1本ずつ計4本抜歯(4番目の奥歯を抜きました)
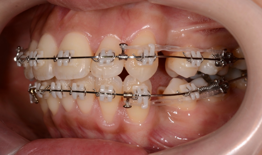
【治療装置】
マルチブラケットシステム(スタンダード type)で矯正を開始。


上下とも前歯がきれいに並んだので、噛み合わせを考えながら前歯を引っ込めて隙間を閉鎖します。


【このステップで考えたのは・・・】
今回は、「出来るだけたくさん上の前歯を引っ込めて、下は上の歯並びに合わせる」という治療計画です。
というのも、「口元は引っ込めたいが、アンカースクリューは絶対に嫌!」という強い要望がありました。
奥歯の噛み合わせが上顎前突(いわゆる出っ歯)の噛み合わせなので、普通に前歯を引っ込めて行くと、最後に出っ歯が残ってしまいます。
本来口元を引っ込めることを狙うなら、その時点からアンカースクリューを用いて上の歯列を更に後方へ引っ込めて、口元が最大限に変化するよう頑張ります。
でも、今回は患者さんの要望でアンカースクリューが使えないので、その作戦は出来ません。
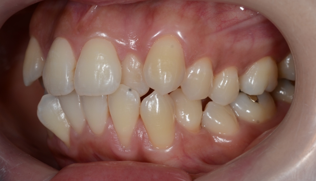
そこで、上の前歯は最大限に引っ込めるけれど、下の隙間は前歯と奥歯のお互いが動いて良い感じ(!)で無くなるように!という作戦を立てました。
そのために、2級顎間ゴムというものを、長期に渡り併用しました。

緑色の丸で囲んだ中にある「下の奥歯から上の前歯にかかる矯正用のゴム」が2級顎間ゴムです
結局、約1年8か月の間、顎間ゴムを使い続けて頑張ってもらいました。
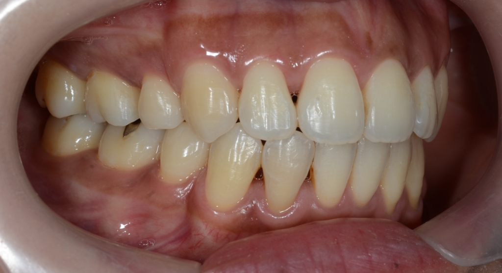
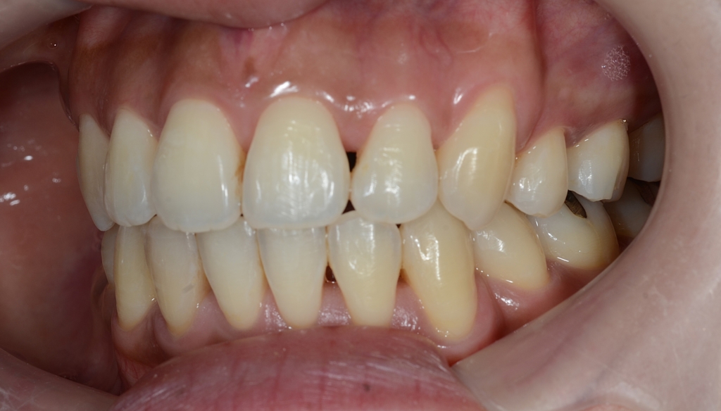
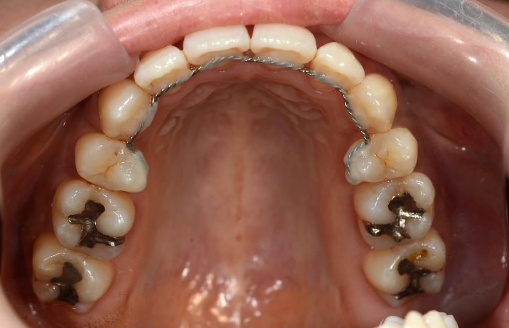
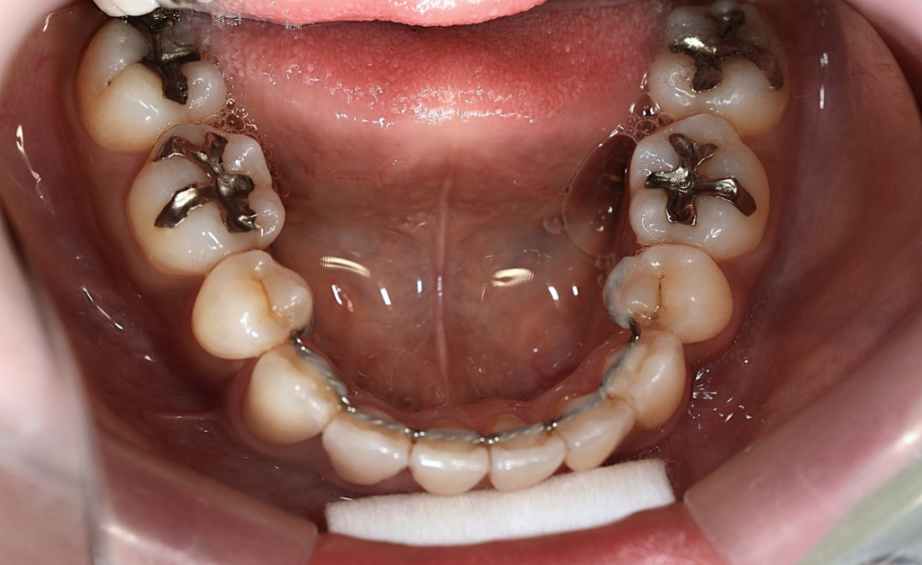
【After】








【保定】 上下ともフィックスタイプ&クリアリテーナー
【治療期間】 2年10カ月間
【治療費用】 75万9千円
(スタンダード typeのマルチブラケットシステム)
あらためて、矯正治療前後の歯並びと口元の変化を比べてみましょう。
まずは、歯並びの変化です。

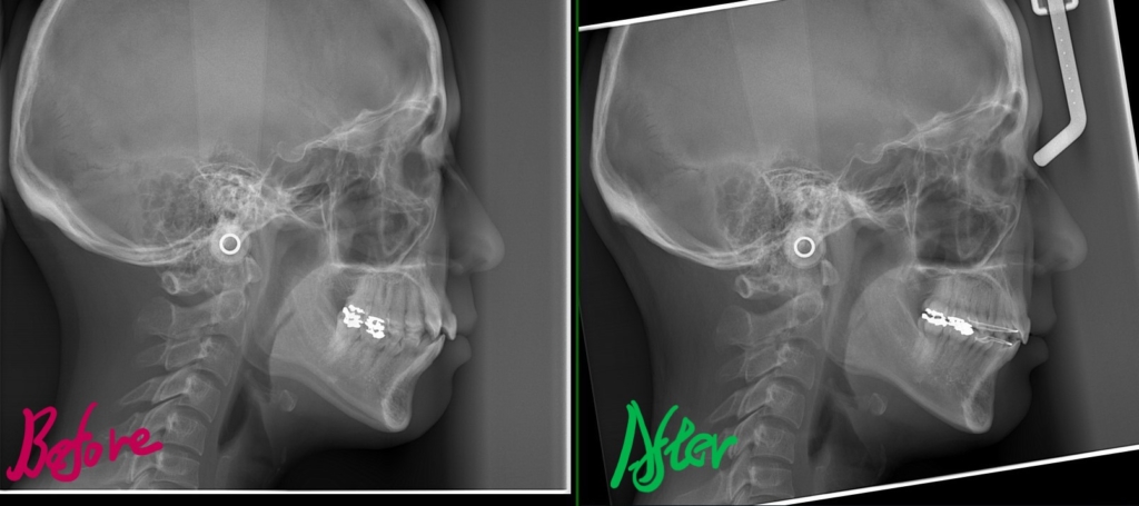
レントゲン写真でも矯正治療前後を比較してみましょう

矯正治療前後の口元及び横顔を比較してみましょう。

上のレントゲン写真で見るよりも、顔写真で見る方が矯正後の口元がスッキリしたことが分かります

口元がスッキリして、オトガイにあった梅干し状のシワもほぼ無くなりました
今回は、歯並びをきれいにすることが一番! 口元の変化はあわよくばを狙った二番!でしたが、
歯並びはもちろん、口元を多少なりともスッキリさせることが出来、患者さんにも喜んでもらえました。
(お口を閉じるのが楽になったそうです)























