受け口と前歯の凸凹を治したい
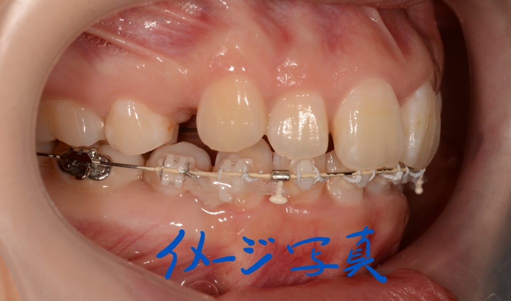
【ハーフリンガル】

ここでは、この方の治療の詳細について記していきます。
・・・・・・・・・・・・・・・・・・・・
患者さんは、20代の女性(社会人)です。
「八重歯などのガタガタを治してきれいな歯並びになりたい!」
というのが一番の希望でした。
合わせて、口元が少しでも引っ込んで、お口を閉じる時にオトガイ辺りの「力」が抜けてしわが無くなればもっと嬉しい!とのことでした。
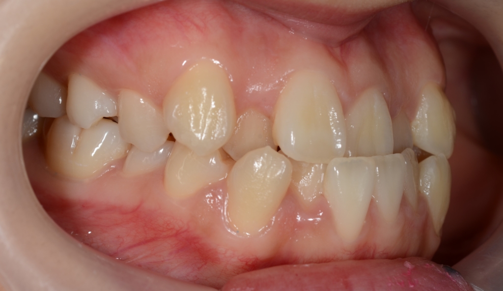
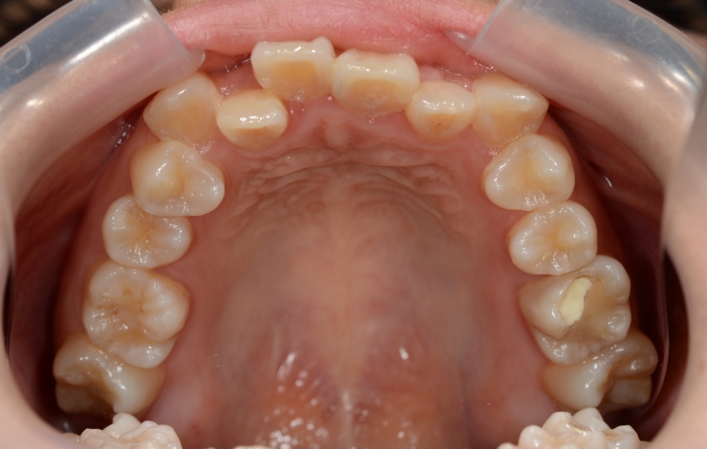
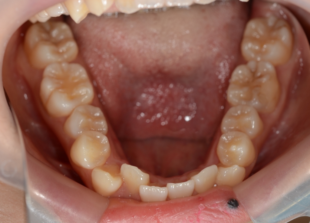
【Before】








レントゲン写真で確認すると、



この患者さんの場合、
【診断】
#1.顎と歯の不調和による叢生
(前歯部の反対咬合を伴う)
#2.骨格的に下顎前突(受け口)傾向
と診断しました。
【治療方針】
1.上下の左右の奥歯を抜歯をしてスペースを作り、前歯をきれいに並べる
2.残る隙間分は、できるだけ前歯を奥へ引っ込める
という治療計画にて、矯正を進めることにしました。
【補足】
お顔の正面観を見れば分かる通り、お顔の左右非対称性が認められます。
そのことも踏まえて外科矯正による治療も提案しました。 しかし「手術はしたくない」との患者さんの希望もあり、治療の結果には限界があるかもしれない・・・ということを理解していただいたうえで、治療を進めることになりました。
【抜歯】
上下の左右の奥歯を1本ずつ計4本抜歯(4番目の第一小臼歯を抜きました)
(上顎の智歯は出来るだけ早期に抜歯を予定しています。
左下奥の横になって埋っている智歯は様子見です)
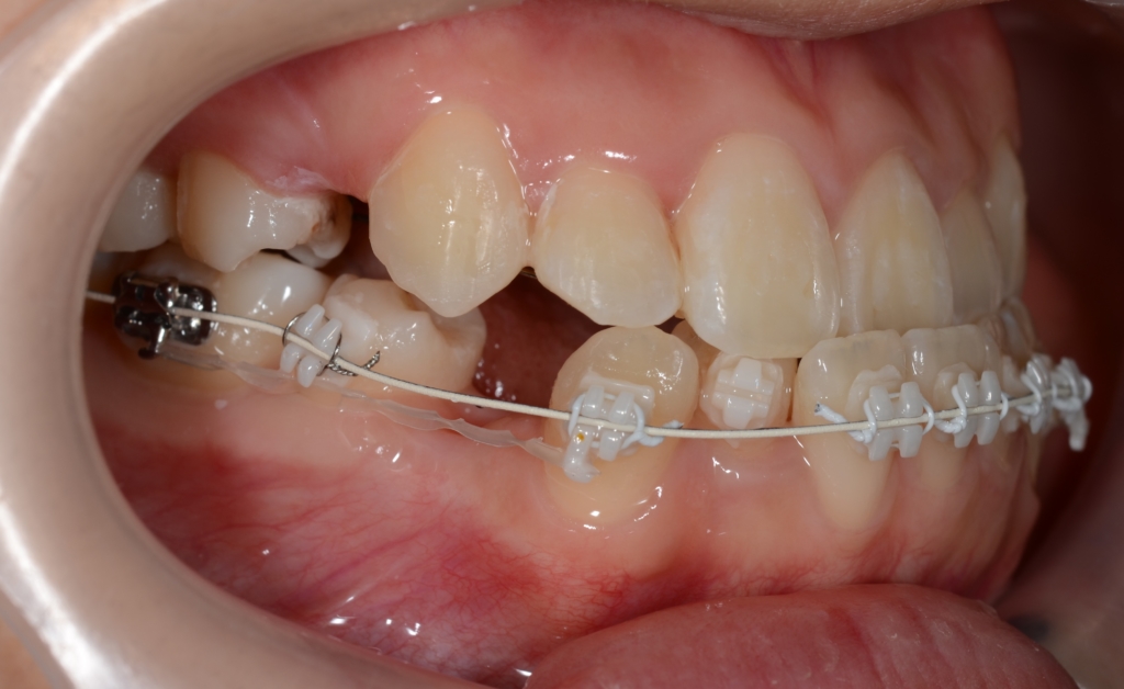
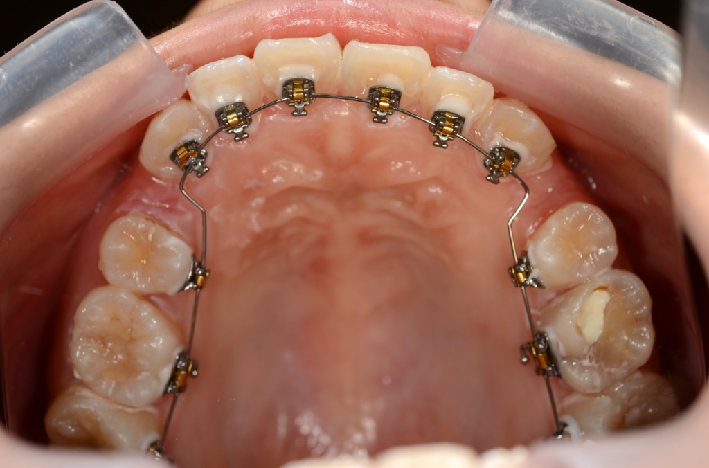
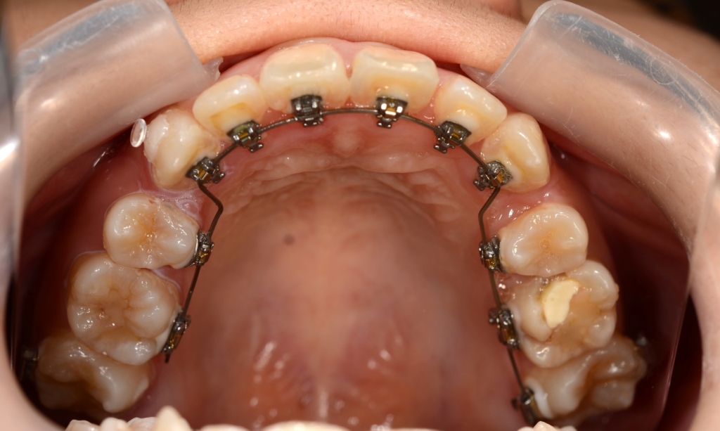
【治療装置】
マルチブラケットシステム(ハーフリンガル type)で矯正を開始。



途中、早期の被蓋改善を図るため、上の奥歯から下の前歯へ引っ掛ける顎間ゴムを3か月間使用しています。
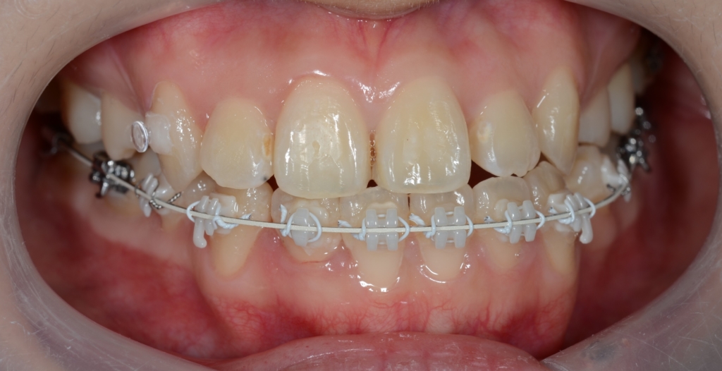
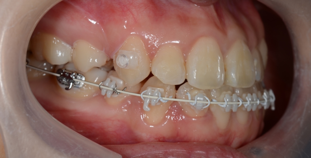
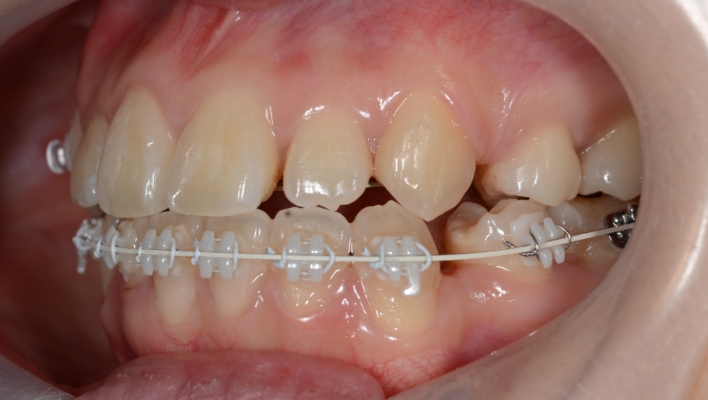
【1年経過】





【残る隙間を閉じて仕上げへ】


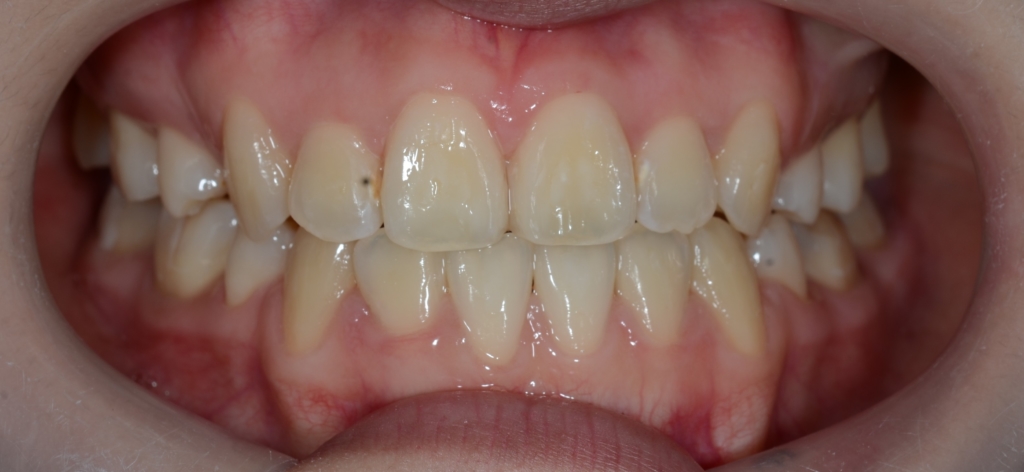
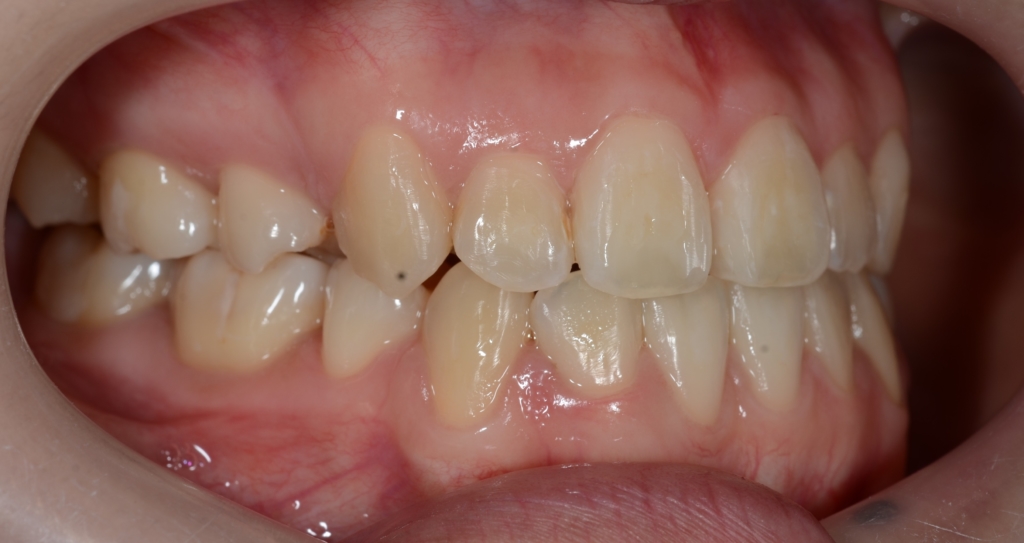
【After】

「もう十分です、早く外して欲しい!」という患者さんの声に甘えて治療を終えることにしました



「もう十分です、早く外して欲しい!」という患者さんの声に負けて治療を終えました




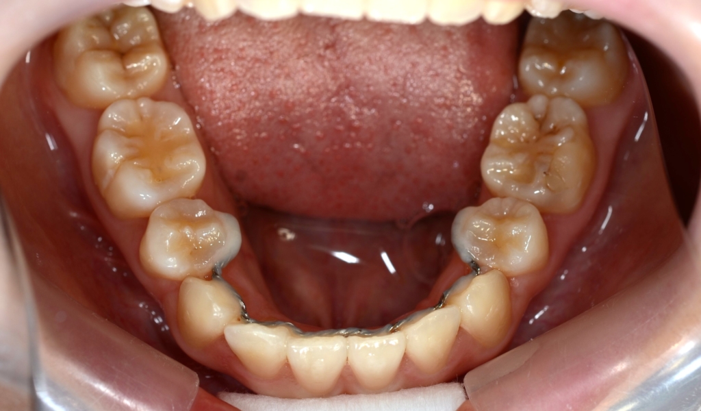
【保定】 上下ともフィックスタイプ&クリアリテーナー
【治療期間】 約2年間
【治療費用】 円
(ハーフリンガル typeのマルチブラケットシステム)
あらためて、矯正治療前後の歯並びと口元の変化を比べてみましょう。
まずは、歯並びの変化です。

レントゲン写真でも矯正治療前後を比較してみましょう

矯正治療前後の口元及び横顔を比較してみましょう。


今回は、歯並びをきれいにすることが一番! 口元の変化はあわよくばを狙った二番!でしたが、歯並びはもちろん、口元もスッキリさせることが出来、患者さんにも喜んでもらえました





















