出っ歯とガミースマイルを治したい!

左側が矯正治療前、右側が矯正治療後
ここでは、この方の治療の詳細について記していきます。
・・・・・・・・・・・・・・・・・・・・
患者さんは、20代の女性(会社員)です。
「出っ歯を引っ込めて、出てる口元も引っ込めたい!」
合わせて、ガミースマイルも何とかしたい!という希望でした。
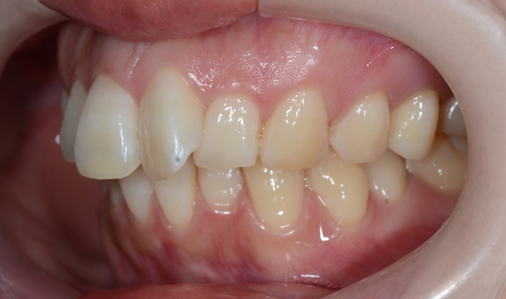
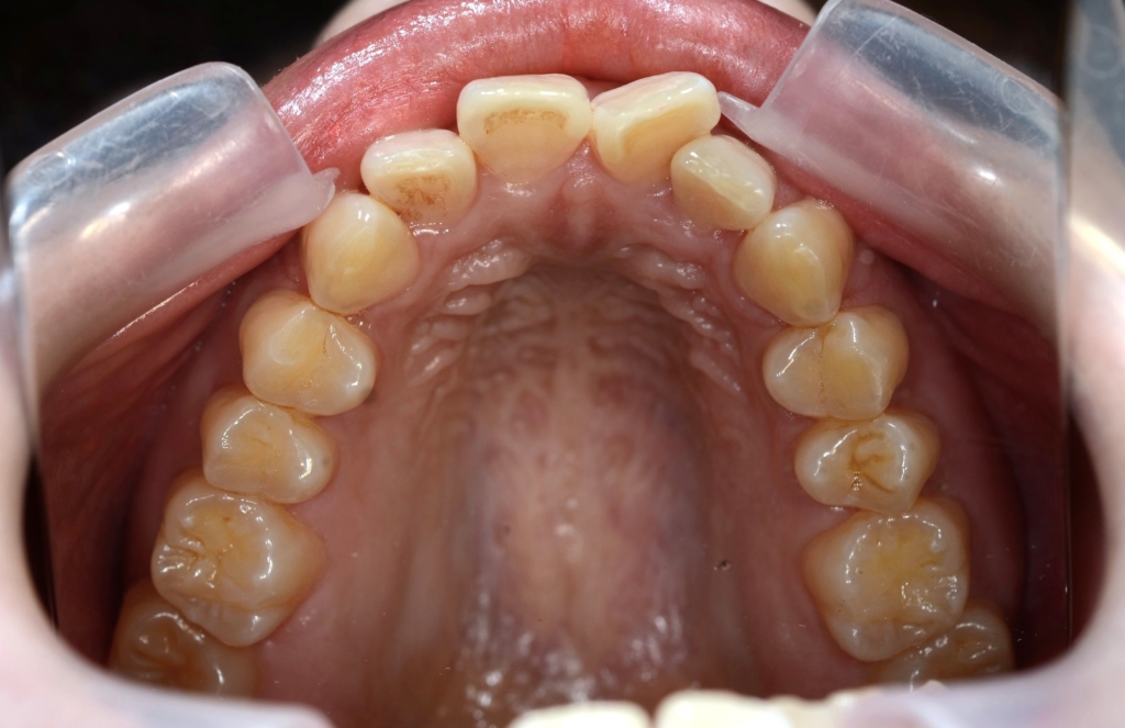
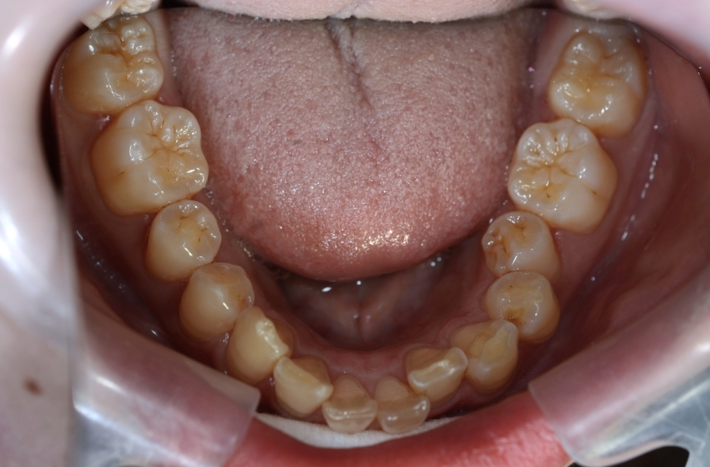
【Before】








レントゲン写真を確認すると、


この患者さんの場合、
【診断】
#1.上顎前突
#2.顎と歯の大きさの不調和による叢生
#3.ガミースマイル
と診断しました。
*歯並びの写真で見ると「出っ歯」であるとは分かり難いですが、頭部全体のレントゲン写真を見ると、出っ歯であることがハッキリと分かります。
【治療方針】
1.上下左右の奥歯を抜歯をしてスペースを作り、前歯の乱れをきれいにする
2.アンカースクリューを用いて、上顎前歯を圧下させてガミースマイルの改善を図る
3.並行して、下の前歯を最大限に後方へ移動
4.その後、上の前歯を残る隙間分最大限に引っ込める
5.必要ならアンカースクリューを追加して上の歯列をより後方へ引っ込める
という治療計画にて、矯正を進めることにしました。
【抜歯】
上下の左右の奥歯を1本ずつ計4本抜歯(すべて前から4番目の第一小臼歯です)
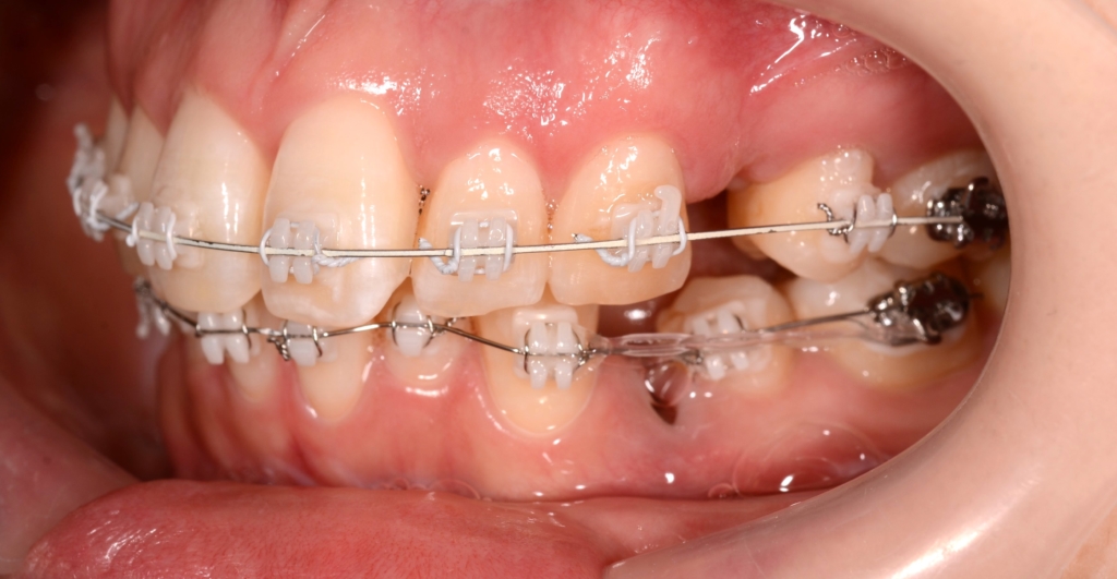
【治療装置】
マルチブラケットシステム(ハーフホワイトtype)で矯正を開始。
アンカースクリュー
【治療開始】


【経過】
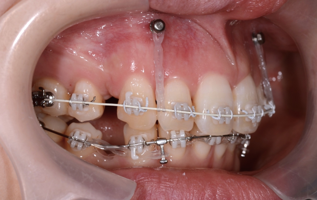
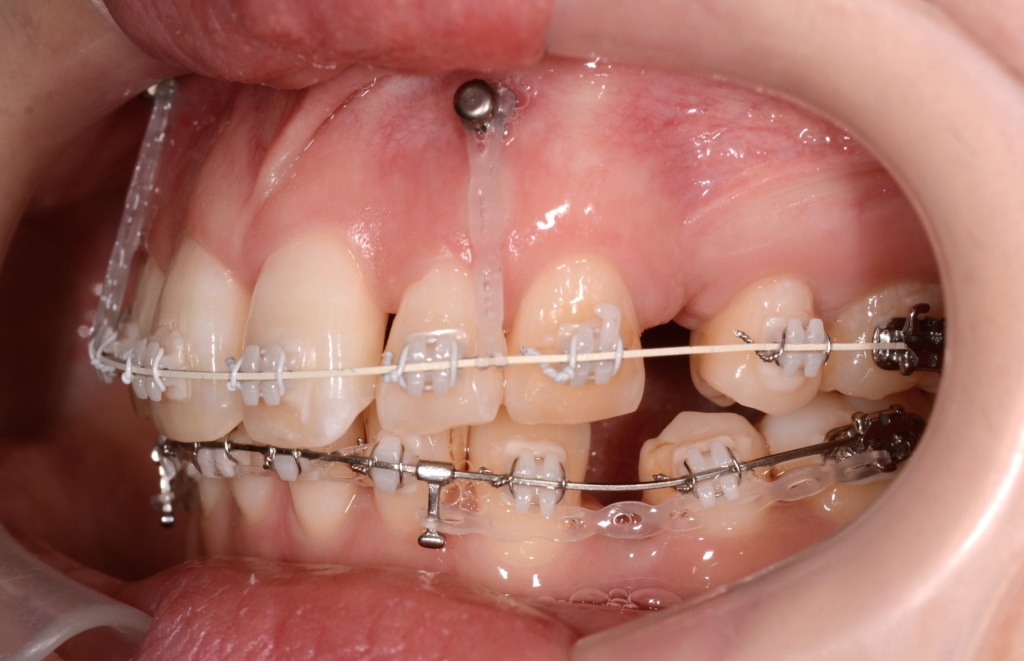
上の前歯が並んだので、ガミースマイルを改善させるために、前歯部にアンカースクリューを植立して準備を整えます。

そうこうしているうちに、下の歯列も並んで整ったので、
「上の前歯の圧下」と「下の前歯の後方への移動」を同時進行で行うことにしました。


その後、ガミースマイルの改善が済んだので、あらためて「上の前歯も後方への移動」を行いました。

同じ内容の治療をしている方のモノをイメージ写真として挙げています。
上下とも抜歯により得られたスペース分を引っ込めたのですが、噛み合わせの辻褄合わせよりも、口元を少しでも大きく引っ込める!ことを優先しました。
結果として、出っ歯がちょっと残ってしまいました。
そこで、上の歯列全体をより後方へ移動させることで、より引っ込んでいる下の歯列に合わせることで、口元も引っ込めることにしました。
先ずは、その準備として上顎の口蓋にアンカースクリューを追加で植立します。

口蓋のアンカースクリューにPLAS&パラタルバーをセットして、上の歯列全体を後方へ移動させます。

同じ内容の治療をしている方のモノをイメージ写真として挙げています。
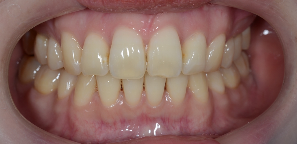
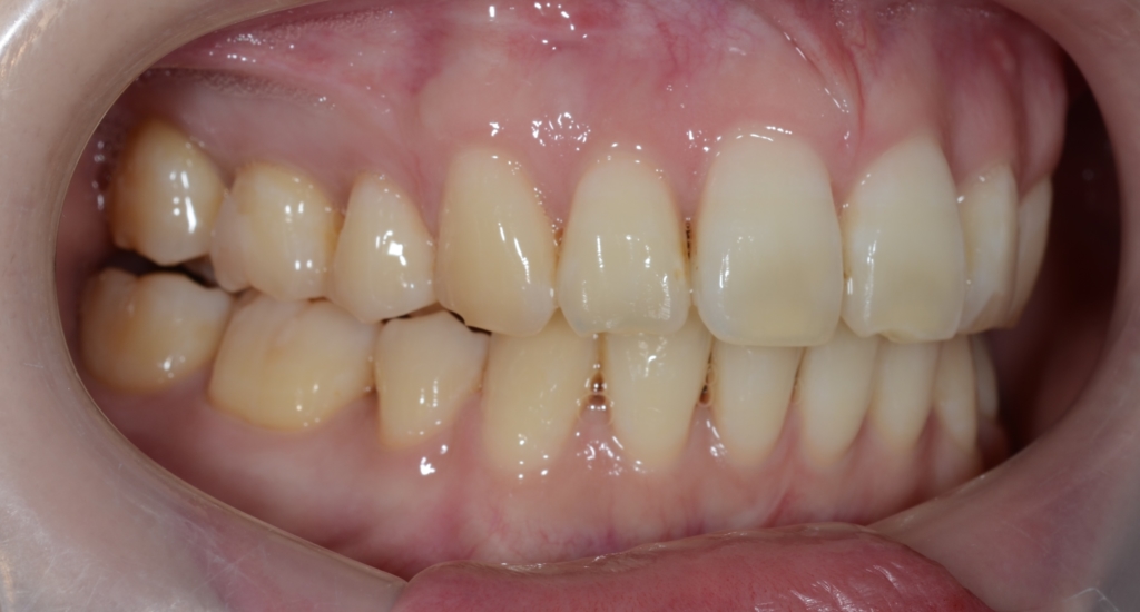
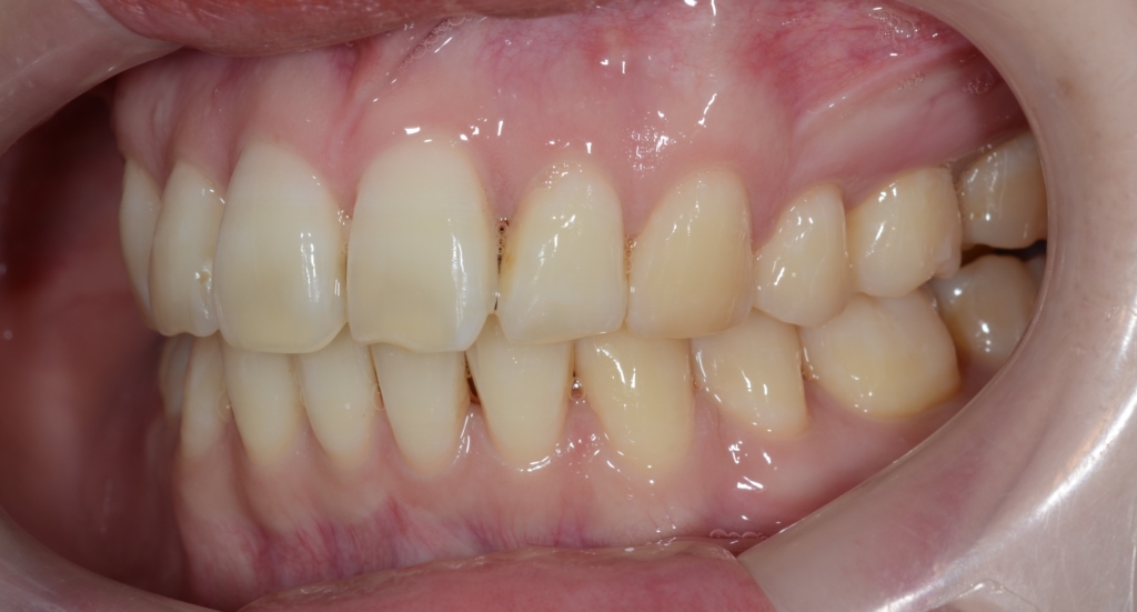
【After】








レントゲン写真で確認すると、

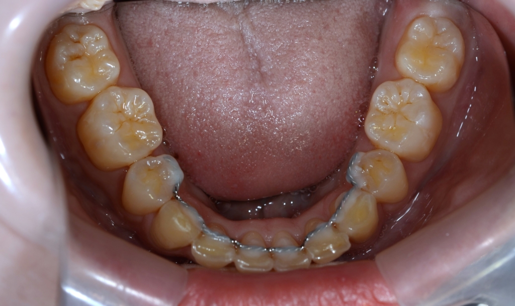
【保定】 上下ともフィックスタイプ&クリアリテーナー
【治療期間】 3年2カ月間
【治療費用】 87万6千円
【治療装置】 ハーフホワイトtypeのマルチブラケットシステム、
アンカースクリューを計4本
PLAS & パラタルバー
今回も、色々ありましたが、口元も笑顔も良い方向へ大きく変えることが出来ました。
矯正治療に伴い笑顔や横顔、口元の雰囲気はガラリと変わり、満足してもらえたようで何よりでした。
では、矯正治療前後の「レントゲン写真」や「笑顔、口元の写真」などを比較してみましょう。
まずはレントゲン写真の比較です。

左側が矯正治療前、右側が矯正治療後
次は、笑顔や横顔・口元の比較です。

左側が矯正治療前、右側が矯正治療後
イメージの違いは一目瞭然ですね!

左側が矯正治療前、右側が矯正治療後
オトガイ部にあった梅干し状のシワは残るもののだいぶ目立たなくなりました

左側が矯正治療前、右側が矯正治療後

























