デコボコで出っ歯な歯並びをきれいにしたい!

上段が矯正治療前、下段が矯正治療後

左側が矯正治療前、右側が矯正治療後
・・・・・・・・・・・・・・・・・・・・
患者さんは、20代の女性(社会人)です。
「デコボコの歯並びをきれいにしたい!
出っ歯も引っ込めたい!”
そして、できる限り口元も引っ込めたい!」
合わせて上の前歯の真ん中が顔面正中から大きくズレているのも治れば嬉しい。。。
という希望でした。
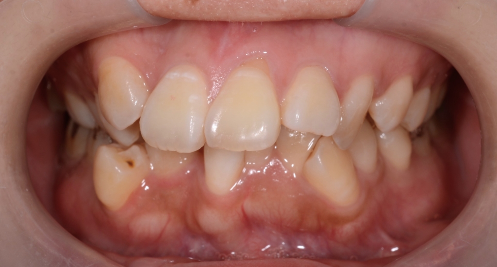
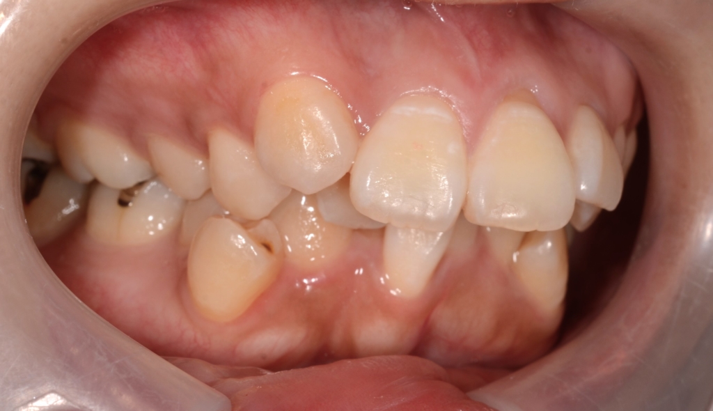
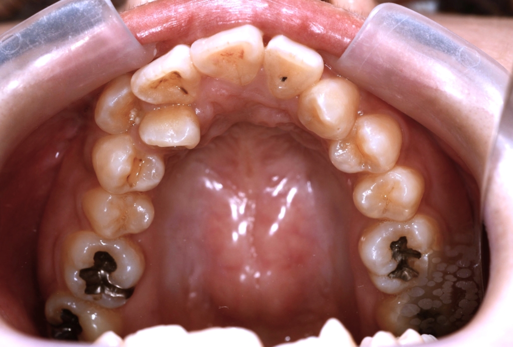
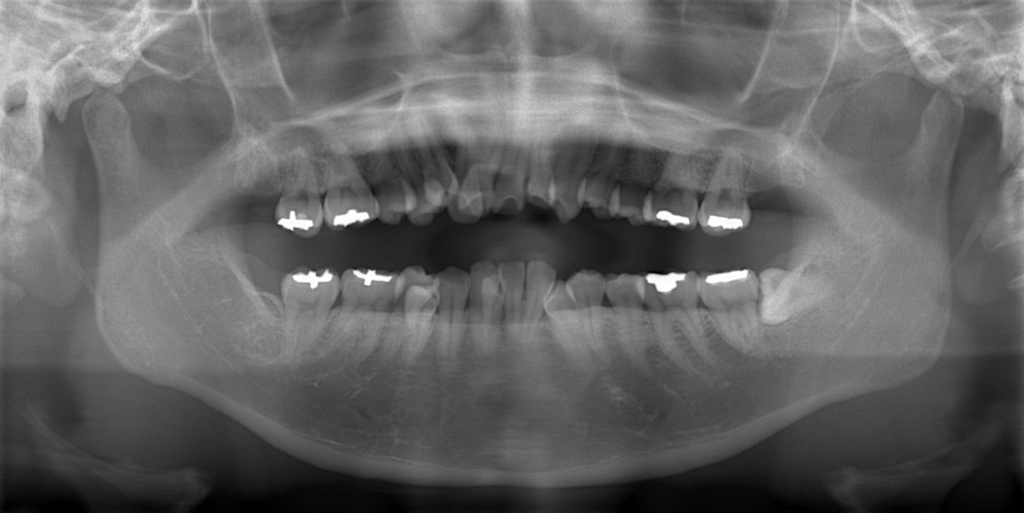
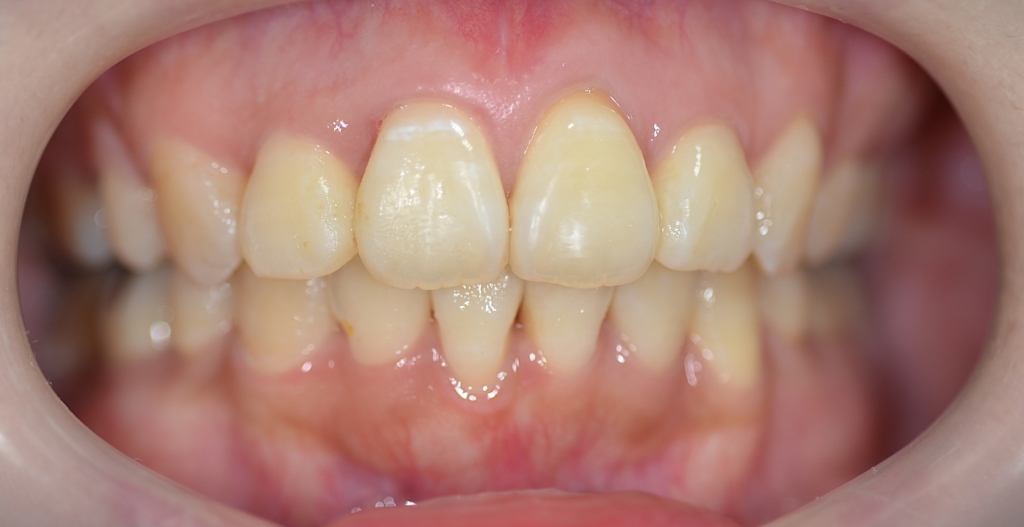
【Before】







レントゲン写真で確認すると、


この患者さんの場合、
【診断】
#1.歯と顎の不調和による叢生(重度)
#2.上顎前突
と診断しました。
【治療方針】
1.先ず、奥歯を抜歯して、歯並びを整える
2.次いで、アンカースクリューを用いて、上顎の歯列を更に後方へ移動
という治療計画にて、矯正を進めることにしました。
【抜歯】
通法通り上下の左右の奥歯(第一小臼歯)を1本ずつ計4本の便宜抜歯
【治療装置】
マルチブラケットシステム(スタンダードtype)で矯正を開始
アンカースクリュー
(上顎の口蓋に2本使用)
【治療開始】 (写真は4か月経過時点です)



更に治療は進みました。 デコボコを含む歯並びの乱れがとても大きかったので、歯並びを整えるだけで抜歯スペースがほぼ無くなりました。


歯並びはキレイになり、大きくズレていた上下の歯並びの正中(真ん中)大体一致しました。
しかし、元々が出っ歯の噛み合わせでもあったので、出っ歯の状態が残ってしまいました。
【上の歯列の更なる後方へ移動を図る】
あらためて、上顎にアンカースクリューを植立することにしました。

アンカースクリューを用いて矯正力を加えることで、上顎歯列全体を後方へ移動させて、口元の見た目の更なる改善を図ります。

最終時点で、「上の前歯に出来た「ブラックトライアングル」が気になる」との訴えがありました。
そこで、前歯の間をストリッピングという処置を行い、若干歯を小さくして、その分だけ前歯を絞り込みブラックトライアングルを解消する!という仕上げ処置を行いました。
*元の歯並びの凸凹がひどい場合には、このブラックトライアングルが生じやすくなります。
限界はありますが、ある程度の解消は可能です。
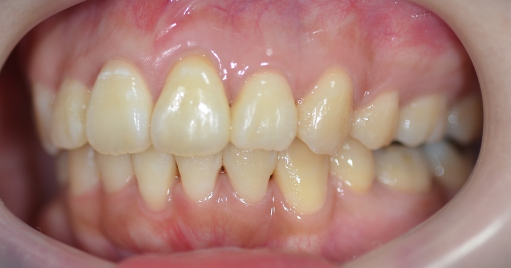
【After】

上下の正中がちょっとズレてしまいました。
患者さん的には「コレくらいなら何の問題もありません!」と温かい言葉をいただき許してもらいました。






矯正後の状態をレントゲン写真で確認すると、

【保定】 上下ともフィックスタイプ&クリアリテーナー
【治療期間】 3年5か月間
【治療費用】 81万6千円
【治療装置】 スタンダードtypeのマルチブラケットシステム、
アンカースクリューを2本
PLAS & パラタルバー
今回も色々ありましたが、矯正治療に伴い、笑って見える歯並びが醸し出すイメージも、横顔や口元の雰囲気も良い方向へ大きく変えることが出来ました。 満足してもらえたようで何よりでした。
では、矯正治療前後の「レントゲン写真」や「歯並び」「横顔と口元の写真」などを比較してみましょう。
まずはレントゲン写真の比較です。

左側が矯正治療前、右側が矯正治療後
次は、歯並びや横顔・口元の比較です。


左側が矯正治療前、右側が矯正治療後
オトガイ部にあった梅干し状のシワがほぼ無くなったことが分かります。

左側が矯正治療前、右側が矯正治療後
矯正後は口元がとてもスッキリしたことが見て取れると思います。
























