口ゴボを引っ込めて顔面偏差値を上げたい

左側が矯正治療前、右側が矯正治療後
ここでは、この方の治療の詳細について記していきます。
・・・・・・・・・・・・・・・・・・・・
患者さんは、20代の女性(社会人)です。
「できる限り口元も引っ込めたい!
そして、顔面偏差値を上げたい!」
という主訴です。
顔面偏差値という言葉にビックリして尋ねると、
「マスクを外すと顔面の偏差値が下がると言われる。 もっと口元を気にせず過ごせるようになりたい。」
という希望でした。
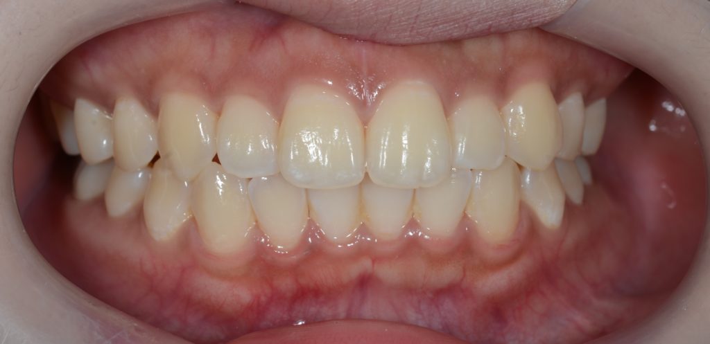
【Before】







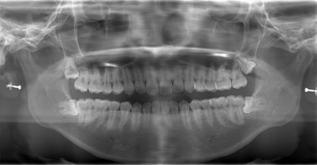
レントゲン写真で確認すると、


この患者さんの場合、
【診断】
#1.上下顎前突
(噛み合わせは上顎前突傾向)
#2.歯と顎の不調和による(軽度の)叢生
と診断しました。
【治療方針】
1.上下左右の奥歯を1本ずつ抜歯してスペースを作り、前歯の軽度の乱れを改善
2.残りのスペース分を使い、上下前歯を最大限に後方へ移動
3.アンカースクリューを用いて上の歯列全体を更に後方へ移動させる
という治療計画にて、矯正を進めることにしました。
【抜歯】
上下の左右の奥歯を1本ずつ計4本抜歯(すべて前から4番目の第一小臼歯を抜きました)
奥に埋まっている智歯は治療の早期に抜歯予定です
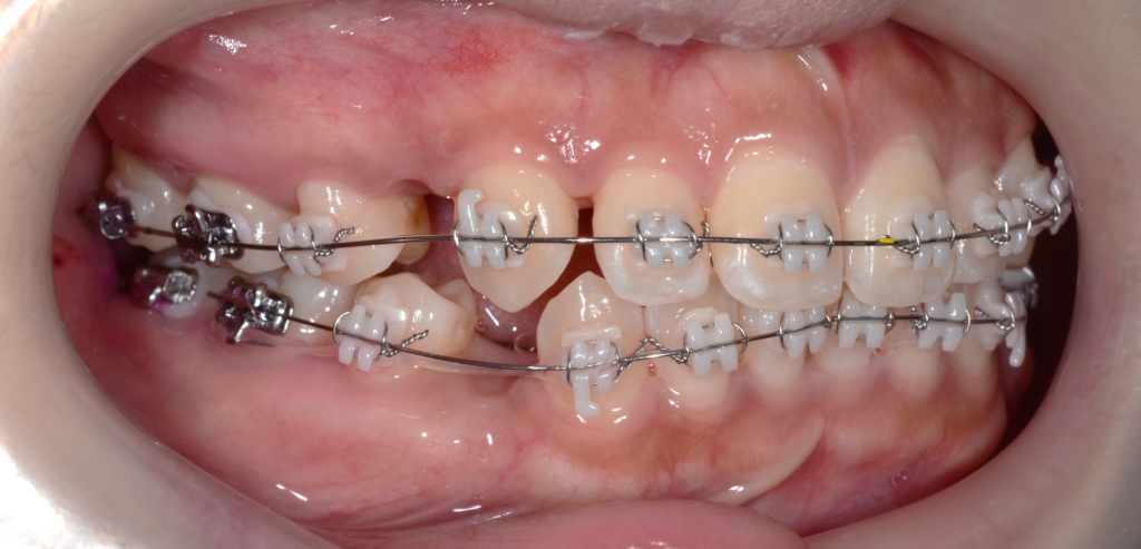
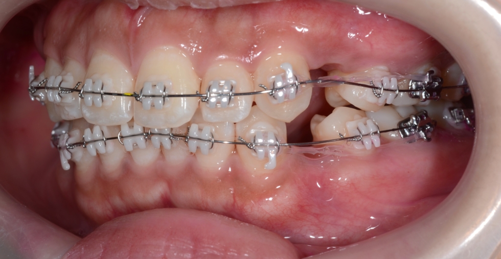
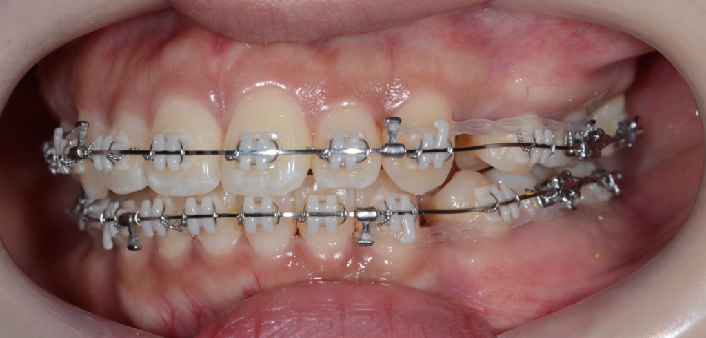
【治療装置】
マルチブラケットシステム(スタンダードtype)で矯正を開始
アンカースクリュー
(上顎の口蓋に2本使用)
【治療開始】


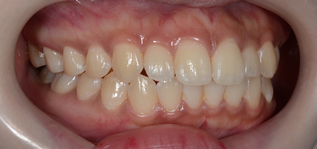
順調にステップが進み、前歯を最大限に引っ込めるステップに入りました。


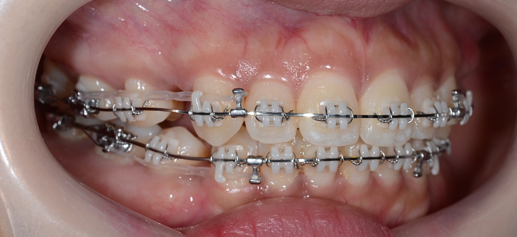
【上の歯列の更なる後方への移動を図る】
隙間分はしっかり引っ込めたのですが、元の噛み合わせが上顎前突傾向でしたので、出っ歯が残ってしまいました。 そこで、より引っ込んだ下の歯列に上の歯列を引っ込めて合わせるという次のステップに進めることにしました。
あらためて、上顎にアンカースクリューを植立しました。

アンカースクリューを用いて矯正力を加えることで、上顎歯列全体を後方へ移動させて、口元の見た目の更なる改善を図ります。

同じことをしている方の写真をイメージ写真としてあげています。
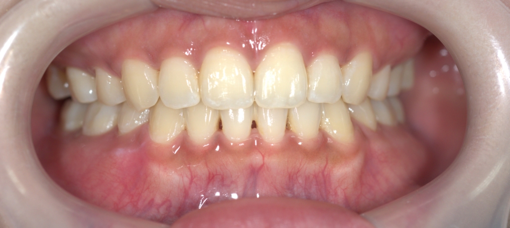
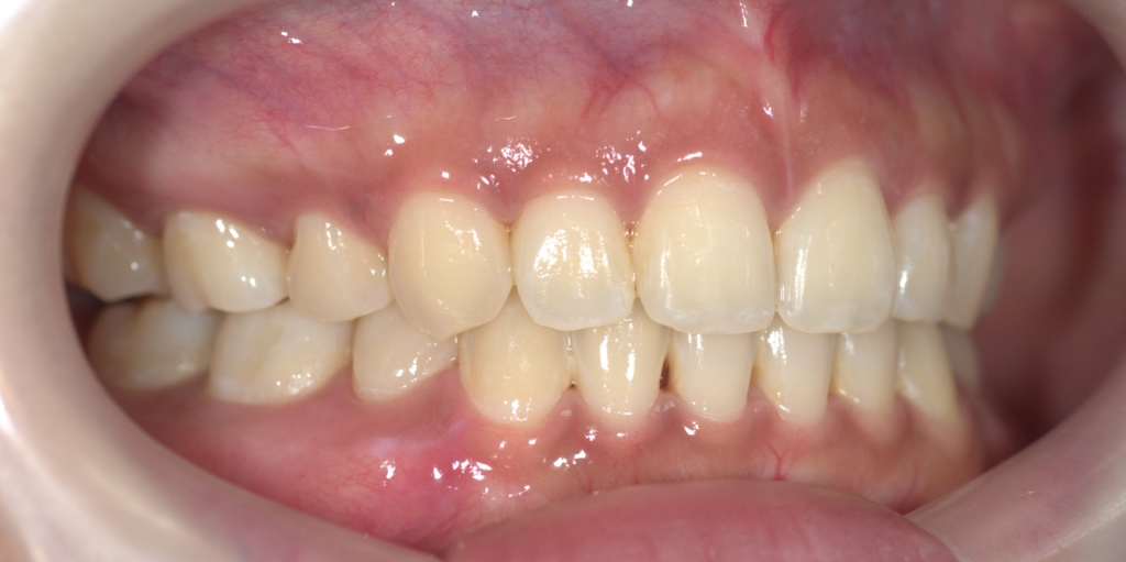
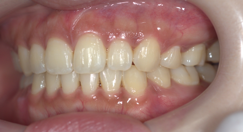
【After】







矯正後の状態をレントゲン写真で確認すると、

【保定】 上下ともフィックスタイプ&クリアリテーナー
【治療期間】 約2年間
【治療費用】 83万8千円
【治療装置】 スタンダードtypeのマルチブラケットシステム、
アンカースクリューを2本
PLAS & パラタルバー
顔面偏差値という言葉に驚きながら、始めた矯正治療です。
「マスクを外しても気持ちよく過ごせます!」と満足してもらえたようで何よりでした。
では、矯正治療前後の「横顔と口元の写真」や「レントゲン写真」などを比較してみましょう。
先ず、横顔・口元の比較です

左側が矯正治療前、右側が矯正治療後
オトガイ部にあった梅干し状のシワがほぼ無くなったことが分かります。

左側が矯正治療前、右側が矯正治療後
矯正後は口元がとてもスッキリしたことが見て取れると思います。
次に、レントゲン写真の比較です。

左側が矯正治療前、右側が矯正治療後




















