ガミースマイルと出っ歯を治したい!

左側が矯正治療前、右側が矯正治療後
ここでは、この方の治療の詳細について記していきます。
・・・・・・・・・・・・・・・・・・・・
患者さんは、20代の女性(会社員)です。
「ガミースマイルを治したい!」
合わせて、出っ歯を引っ込め治したい!という希望でした。
既に一度美容外科で、「ガミースマイルを治す手術を受けたけど、3か月で元に戻ってしまった・・・」という既往がありました。
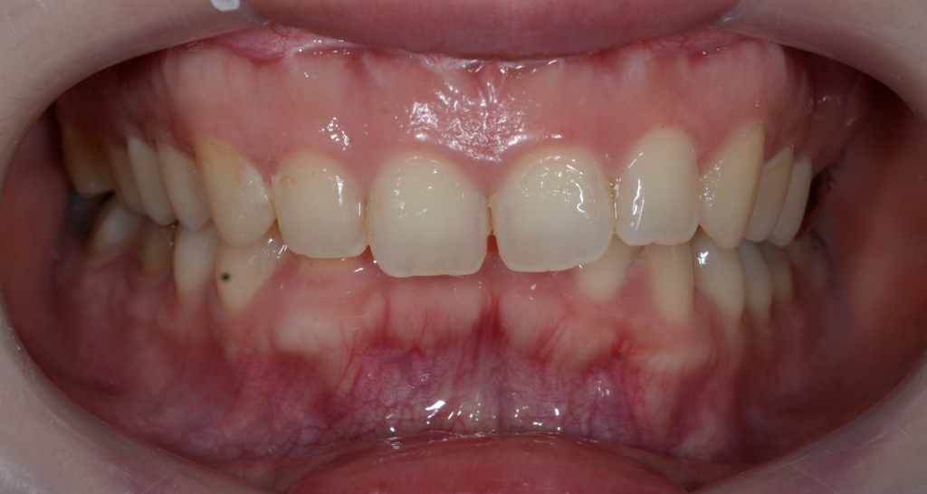
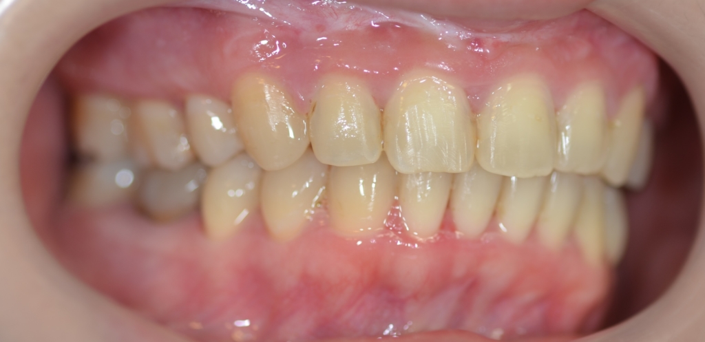
【Before】








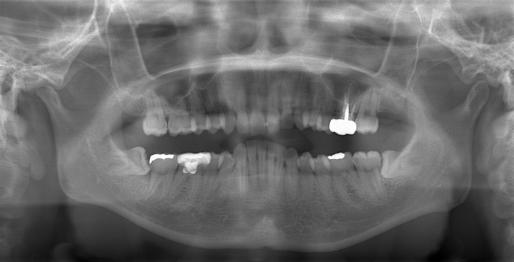
レントゲン写真を確認すると、


この患者さんの場合、
【診断】
#1.上顎前突
#2.ガミースマイル(重度の過蓋咬合を伴う)
と診断しました。
補足:口腔前庭縮小術の既往あり(美容外科にて)

【治療方針】
1.アンカースクリューを用いて、上顎前歯を圧下させてガミースマイルの改善を図る
2.その後、抜歯をしてスペースを確保して、上の前歯を最大限に引っ込める
という治療計画にて、矯正を進めることにしました。
【抜歯】
上の左右の奥歯を1本ずつ計2本抜歯(前から4番目の第一小臼歯です)
下は非抜歯です
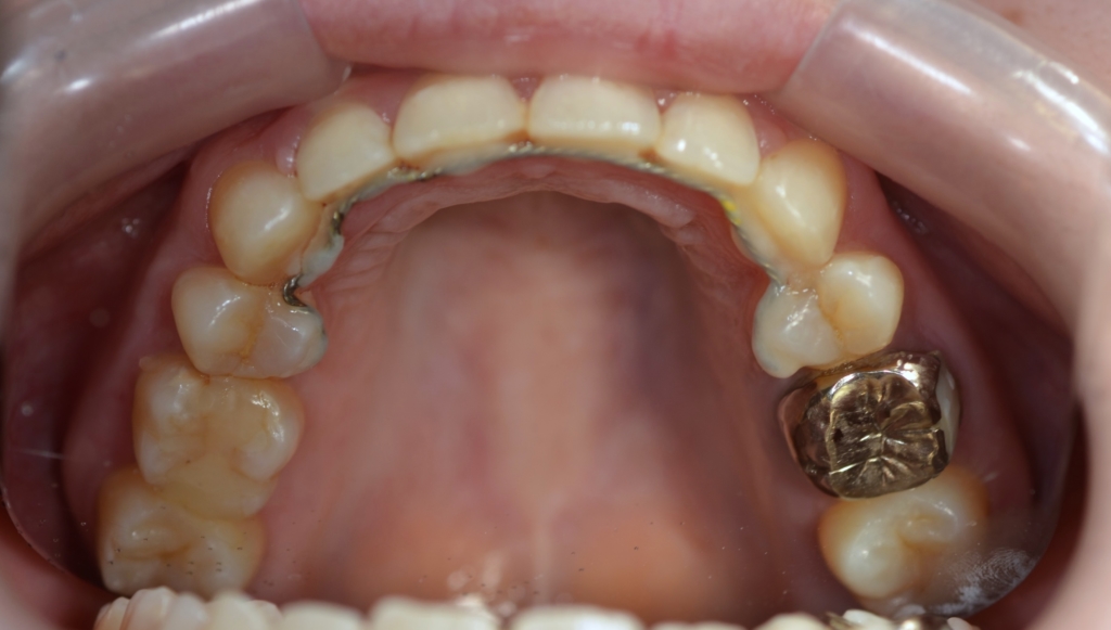
【治療装置】
マルチブラケットシステム(スタンダードtype)で矯正を開始。
アンカースクリュー
【治療開始】
まず、上の歯列だけに矯正装置を付けて、治療を開始します。
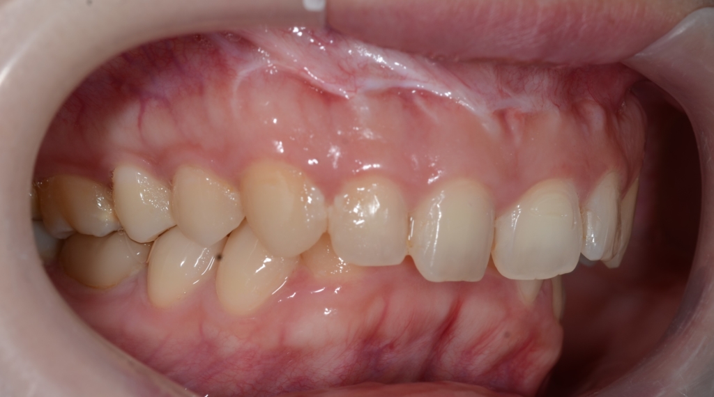
【経過】
上の前歯が並んだので、ガミースマイルを改善させるために、前歯部にアンカースクリューを植立して準備を整えます。

そうこうしているうちに、下の歯列も並んで整ったので、
「上の前歯の圧下」と「下の前歯の後方への移動」を同時進行で行うことにしました。

そこからワイヤーを伸ばすことで「圧下」の力を加えることが出来るようにしました


ガミースマイルの改善が済んだ後、あらためて上の前歯を引っ込めるステップに入りました。

同じ内容の治療をしている方のモノをイメージ写真として挙げています。
ガミースマイルの改善のために上顎前歯の圧下をした方でよくあるのが、この方のように前歯を引っ込めるステップで、スムーズに前歯が動いてくれない!という現象です。
前歯に限らず、「歯」というのは押し込まれるとそこで安定してしまい動きづらくなる・・・という特徴があります。 何の問題もなく動いてくれることもあるのですが、往々にして。この方のように時間がかかることを良く経験しています。
今後の治療法の改善の余地あり、ということですかね。
なんとか抜歯により得られたスペース分を引っ込めたのですが、噛み合わせの辻褄合わせよりも、口元を少しでも大きく引っ込める!ことを優先しました。
結果として、正中のズレがちょっと残ってしまいました。
また、途中で結婚、妊娠&出産もあり治療の長期離脱などもありましたが、無事、治療を終えることが出来ました。
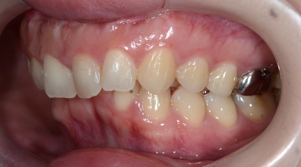
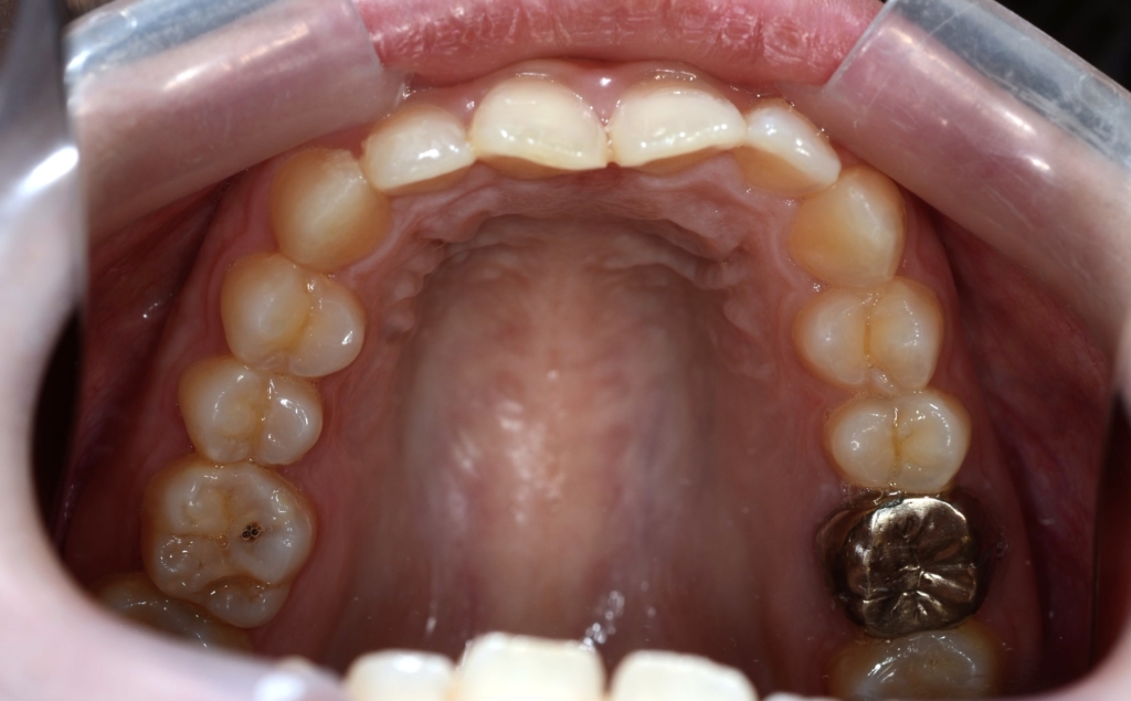
【After】








レントゲン写真で確認すると、

【保定】 上下ともフィックスタイプ&クリアリテーナー
【治療期間】 4年4か月間
【治療費用】 84万9千円
【治療装置】 スタンダードtypeのマルチブラケットシステム、
アンカースクリューを2本
今回も、色々ありましたが、口元も笑顔も良い方向へ大きく変えることが出来ました。
矯正治療に伴い笑顔や横顔、口元の雰囲気はガラリと変わり、満足してもらえたようで何よりでした。
では、矯正治療前後の「レントゲン写真」や「笑顔、口元の写真」などを比較してみましょう。
まずはレントゲン写真の比較です。

左側が矯正治療前、右側が矯正治療後
次は、笑顔や横顔・口元の比較です。

左側が矯正治療前、右側が矯正治療後
イメージの違いは一目瞭然ですね!

左側が矯正治療前、右側が矯正治療後
オトガイ部にあった梅干し状のシワはだいぶ目立たなくなりました

左側が矯正治療前、右側が矯正治療後
口元の突出感も消えたように思います。

ガミースマイルを治す方法として、美容外科では、「口腔前庭縮小術」と「ボトックス注射」の二つの手段があります。
ただ、口腔前庭縮小術は、術後3か月ほどすると、元のガミースマイルに後戻りする事例をちまちま目に、耳にすることがあります。
また、ボトックス注射は、半年ほどで効力が切れてしまいますが、ガミースマイルが治ったらどうなるかをイメージするのには適しているように思います。
























