口元を引っ込めたい!

左側が矯正治療前、右側が矯正治療後
ここでは、この方の治療の詳細について記していきます。
・・・・・・・・・・・・・・・・・・・・
患者さんは、20代の女性(社会人)です。
「口元をいっぱい引っ込めて、口ゴボを治したい!」
というのが主訴です。
実はこの方、今回ご縁を持つ4年前にも当院に相談に訪れてました。
その時は「Eラインを引けるような口元になりたい!」というのが一番の主訴でした。
この時は御縁がなく、美容外科にて(下顎の)オトガイ部に骨移植をするオトガイ形成術をされ、Eラインに整える処置をされました。

いわゆる顎は出来たのですが、緑の線で囲まれた口元の部分が出ていて、スッキリしない状況です。
また、お口を閉じるのに「力」が必要で、オトガイ部にその緊張に伴うシワが見られます。
Eラインという一点に絞れば希望はそれなりに叶ったのですが、横顔と口元という全体的なバランスで捉えると、「何か口元が出ている!」という状態でした。
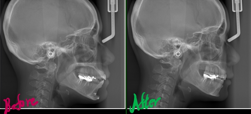
【Before】








レントゲン写真で確認すると、

一応、Eラインが引ける状態です。

この患者さんの場合、
【診断】
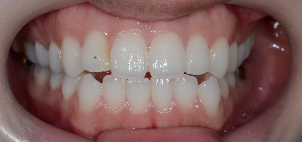
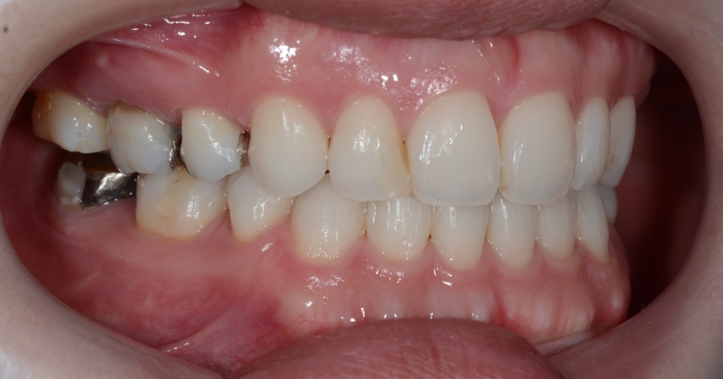
#1.上下顎前突
#2.open bite (開口)傾向
#3.ガミースマイル
と診断しました。
【治療方針】
1.先ず上の歯にのみ装置を付けて、
・ガミースマイルの改善
・下顎の反時計回りの回転を狙う
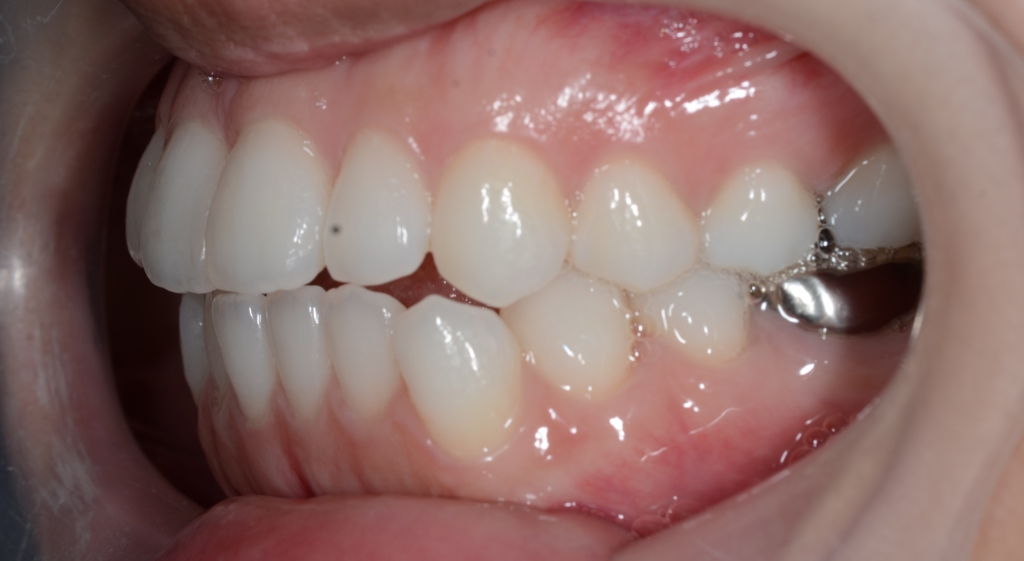
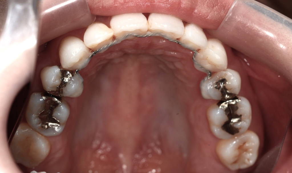
2.上下の左右の奥歯を1本ずつ(計4本)抜歯をしてスペースを作り、
上下の前歯を最大限に後方へ引っ込める
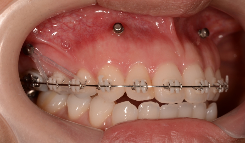
(上顎においては、アンカースクリューを併用)
という治療計画の下、矯正を進めることにしました。
【治療装置】
マルチブラケットシステム(スタンダードtype)で矯正を開始。
【治療開始】


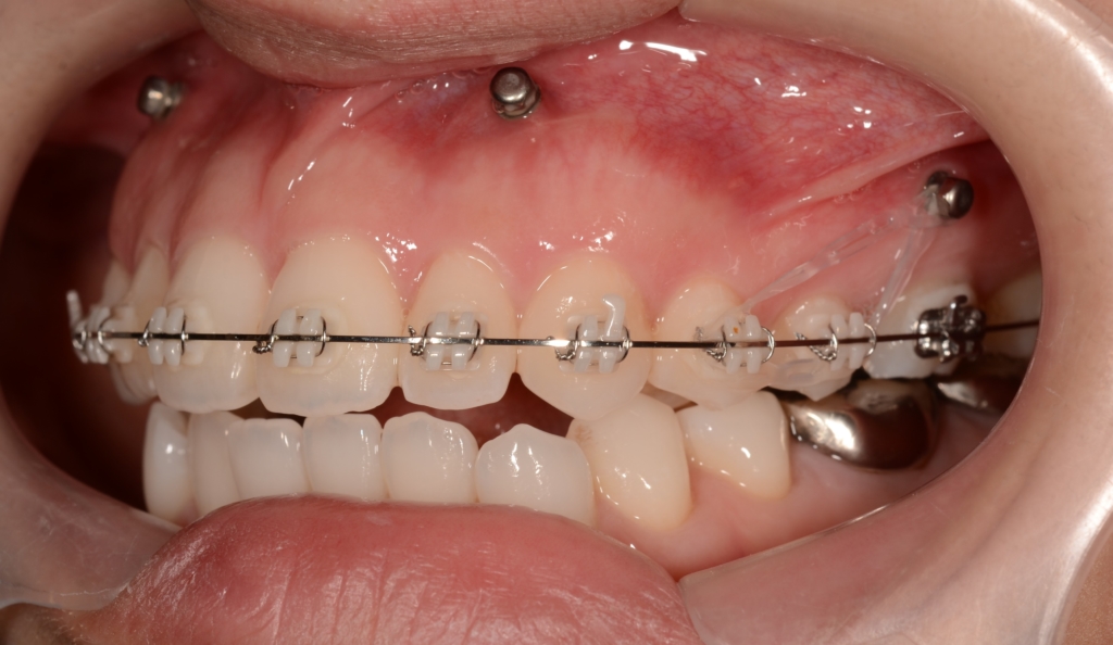
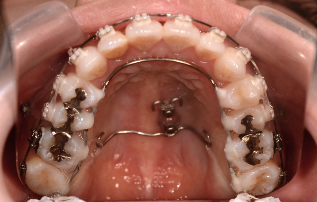
上の歯列がきれいに並んで、アンカースクリューを植立する目途がついたので、上顎の口蓋正中部、臼歯部と前歯部の頬側辺りにアンカースクリューを植立しました。(計6本)


【この時点で治療プラン変更】
元々は「ガミースマイルをも治す」という希望だったのですが、「ガミースマイルを先に治さなくて良いから、引っ込めることを優先して欲しい!」という患者さんからの希望の変更が出されました。
(このようなケースでガミースマイルを治すために圧下すると、それだけで1年以上の時間を要します。)
ただ、せっかくアンカースクリューを植立したので、臼歯部の圧下だけでも行い、下顎の反時計回りの回転によるオトガイ部の前方移動(→ Eラインを引くうえで有利になる)と、前歯部の開口傾向の改善だけは図ることにしました。 この作戦だと時間を短縮できます。

奥歯の圧下による下顎の反時計回りの回転を狙っています


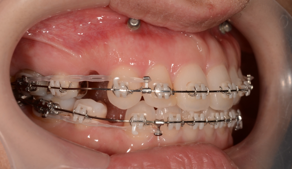
前歯部の噛み合わせに目途が付いた時点で、下の歯にも装置を付けて、合わせて治療を進めます。
噛み合わせがしっかりしたところで、上下とも第一小臼歯を抜歯して前歯を後方へ最大限に引っ込めて行きます。


当初は最大限に前歯を引っ込めて行く予定だったのですが、治療途中で患者さんから「このくらいで良いかも!?」という状態評価が出てきました。
そこで、その時点からは力を加減して残る隙間を閉じて、噛み合わせを確立するように、治療プランに修正を加えて進めて行きました。
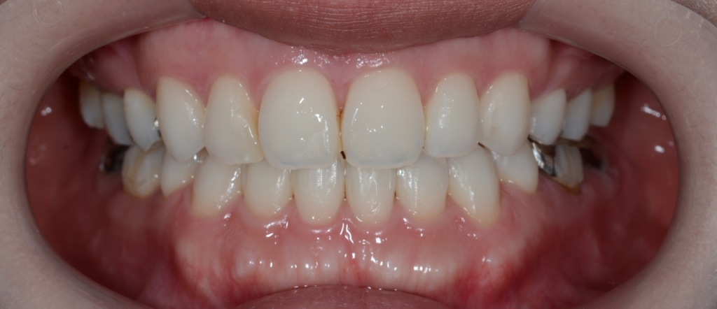
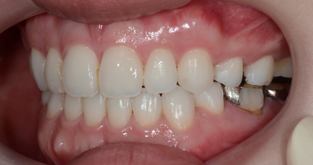
【After】







矯正後の状態をレントゲン写真で確認すると、

【保定】 上下ともフィックスタイプ&クリアリテーナー
【治療期間】 約2年10カ月間
【治療費用】 92万6千円
・スタンダードタイプのマルチブラケットシステム
・アンカースクリューを計6本
・PLAS&パラタルバーを使用 【抜歯】
上下の左右の奥歯を1本ずつの計4本(全て第一小臼歯)を抜歯
横顔や口元は患者さんの希望通りにスッキリして、満足してもらえました。
術前も口元にEラインを引くことが出来ました(レントゲン参照)が、お顔全体のバランスという意味で、同じEラインであっても術前と術後ではスッキリ感が異なります。
なお結局、ガミースマイルの改善は行わないまま治療を終了しました。
最後に、矯正治療前後のと「口元の写真」「レントゲン写真」「歯並び」の比較をお見せしましょう。

口元が飛び出た感じも無くなりました

お口を閉じた時のオトガイ部のシワも、治療後は無くなりました


この方の場合、美容外科にてオトガイ形成術の既往がありました。 そのためお顔のバランスを考えた時に前歯の引っ込め具合をちょっと加減しました。 それが無ければ、もっと積極的に前歯を引っ込めて(いわゆる)顎を作るプランを実行したと思われます。

























