八重歯を治したい!

ここでは、この方の治療の詳細について記していきます。
・・・・・・・・・・・・・・・・・・・・
患者さんは、30代の女性(社会人)です。
「八重歯などのガタガタを治してきれいな歯並びになりたい!」
というのが一番の希望でした。
合わせて、口元が少しでも引っ込んで、お口を閉じる時にオトガイ辺りの「力」が抜けてしわが無くなればもっと嬉しい!とのことでした。
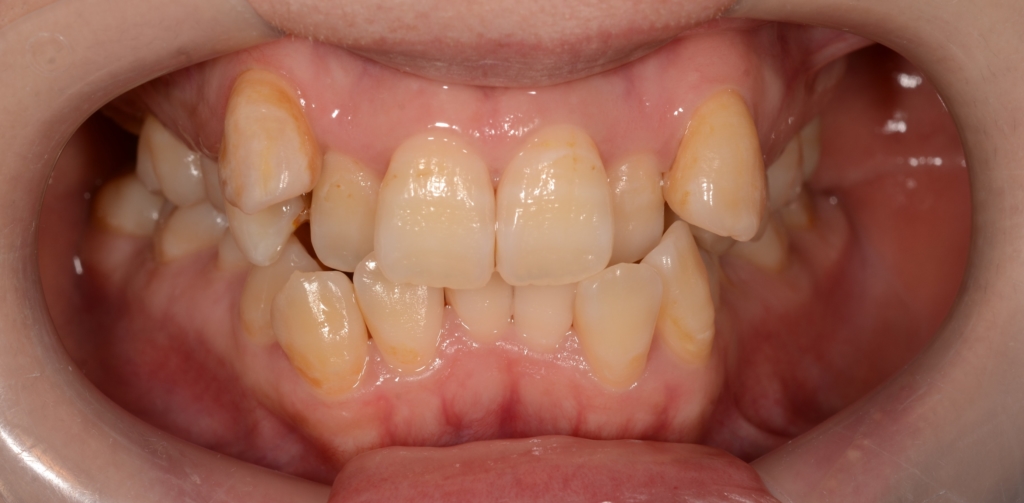
【Before】







レントゲン写真で確認すると、


この患者さんの場合、
【診断】
#1.顎と歯の不調和による叢生(重度)
#2.上顎前突(出っ歯)傾向
と診断しました。
【治療方針】
1.上下の左右の奥歯を抜歯をしてスペースを作り、前歯をきれいに並べる
2.残る隙間分は、
上顎では、できるだけ前歯を奥へ引っ込める
後日に、追加の抜歯が必要 or 上の歯並び全体をプラスアルファ―奥へ引っ込める
下顎では、前歯できるだけ奥へ引っ込めて隙間を閉じる
という治療計画にて、矯正を進めることにしました。
【抜歯】
上下の左右の奥歯を1本ずつ計4本抜歯(4番目の奥歯を抜きました)
(左下奥の横になって埋っている智歯は様子見です)
【治療装置】
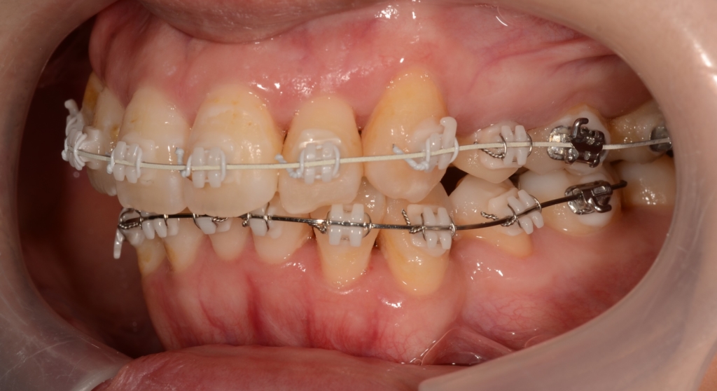
マルチブラケットシステム(ハーフホワイトtype)で矯正を開始。


*ハーフホワイトtype:上下とも歯の表側に白いブラケットを付けて、上には白いワイヤー&下には銀色のワイヤーを用いたストレートワイヤーによる歯列矯正
【6か月経過】
上下とも前歯はきれいに並びましたが、左右とも(特に左側)上顎前突(出っ歯)の噛み合わせが残っています



【噛み合わせを良くするために】
上下とも前歯はきれいに並びましたので、次のステップに移ります。
噛み合わせとしては上顎前突(出っ歯)が残っています。 (特に左側)
元々、左上は2本抜歯しなければいけないかも・・・という想定があり、想定通りになったかなという状況でした。 やはり「追加の抜歯はしたくない!」とのこと。
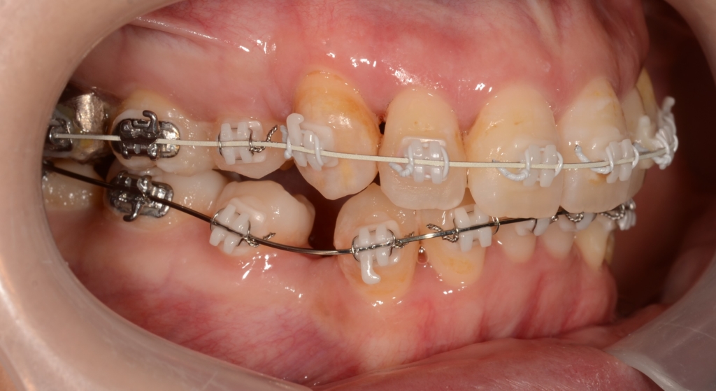
口蓋へのアンカースクリューも提案しましたが、「アンカースクリューは怖いし・・・」
ということで、従来法による顎間ゴムを併用することで可及的な改善を図る!という計画で進めることにしました。

緑色の丸で囲んだ中にある「下の奥歯から上の前歯にかかる矯正用のゴム」が顎間ゴムです
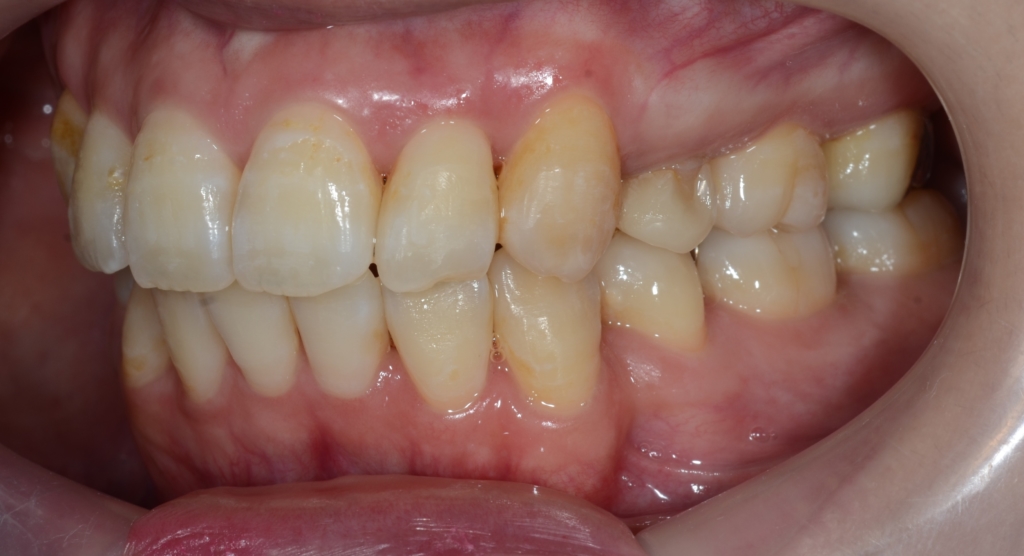
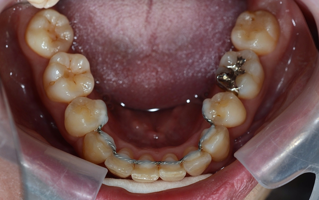
【After】

「もう十分です」という患者さんの声に許してもらいました







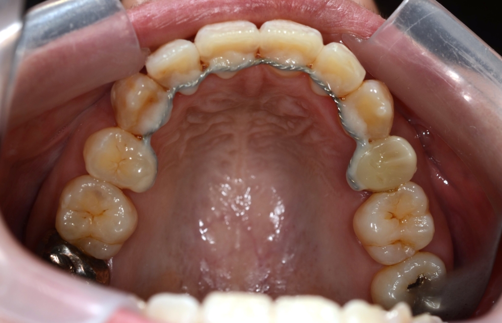
【保定】 上下ともフィックスタイプ&クリアリテーナー
【治療期間】 1年7か月間
【治療費用】 80万円
(ハーフホワイトtypeのマルチブラケットシステム)
あらためて、矯正治療前後の歯並びと口元の変化を比べてみましょう。
まずは、歯並びの変化です。

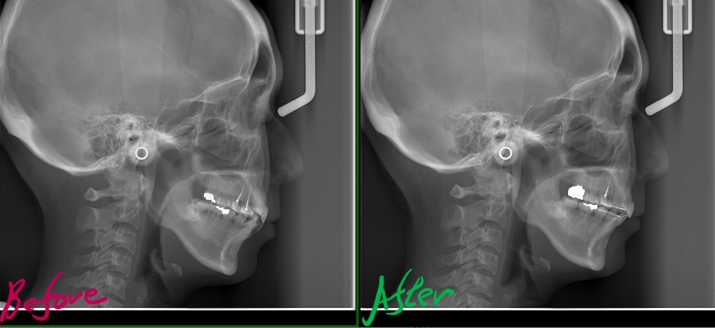
レントゲン写真でも矯正治療前後を比較してみましょう

矯正治療前後の口元及び横顔を比較してみましょう。

上のレントゲン写真で見るよりも、顔写真で見る方が矯正後の口元がスッキリしたことが分かります

口元がスッキリして、オトガイにあった梅干し状のシワもほぼ無くなりました
今回は、歯並びをきれいにすることが一番! 口元の変化はあわよくばを狙った二番!でしたが、
歯並びはもちろん、口元もスッキリさせることが出来、患者さんにも喜んでもらえました

























