口元を引っ込めたい(特に下唇辺り)

左側が矯正治療前、右側が矯正治療後
ここでは、この方の治療の詳細について記していきます。
・・・・・・・・・・・・・・・・・・・・
患者さんは、20代の女性(社会人)です。
「口元(特に下唇辺り)の突出感をなくしたい!」というのが一番の主訴です。
合わせて、前歯の軽い凸凹もキレイにしたいという希望がありました。
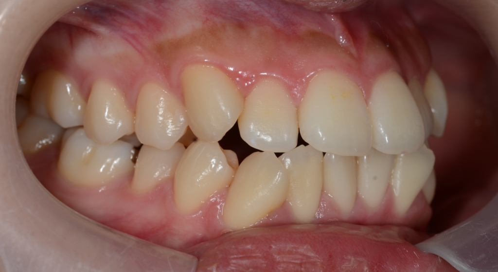
【Before】


しかし、お口を閉じていても、上の前歯がチラリと見えています







この患者さんの場合、
【診断】
#1.上下顎前突
#2.歯と顎の不調和による軽度の叢生
と診断しました。
【治療方針】
1.上下左右の奥歯を1本ずつ抜歯してスペースを作り、前歯の乱れを改善
2.残りのスペース分を使い、上下前歯を最大限に後方へ移動
という治療計画にて、矯正を進めることにしました。
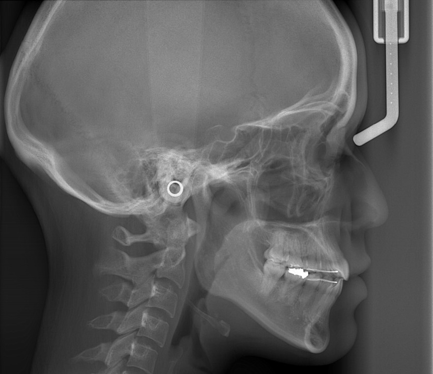
(元々、上顎ではアンカースクリューを併用する予定でしたが、奥歯の歯の間の距離が狭く植立が不可能でした。 そこで、とりあえず通常通りに治療を進めて、必要なら後日、上顎の口蓋に植立して修正をかけることにしました。)
【抜歯】
上下の左右の奥歯を1本ずつ計4本抜歯(すべて前から4番目の第一小臼歯を抜きました)
埋っている智歯は上下とも治療の早期に抜歯予定です
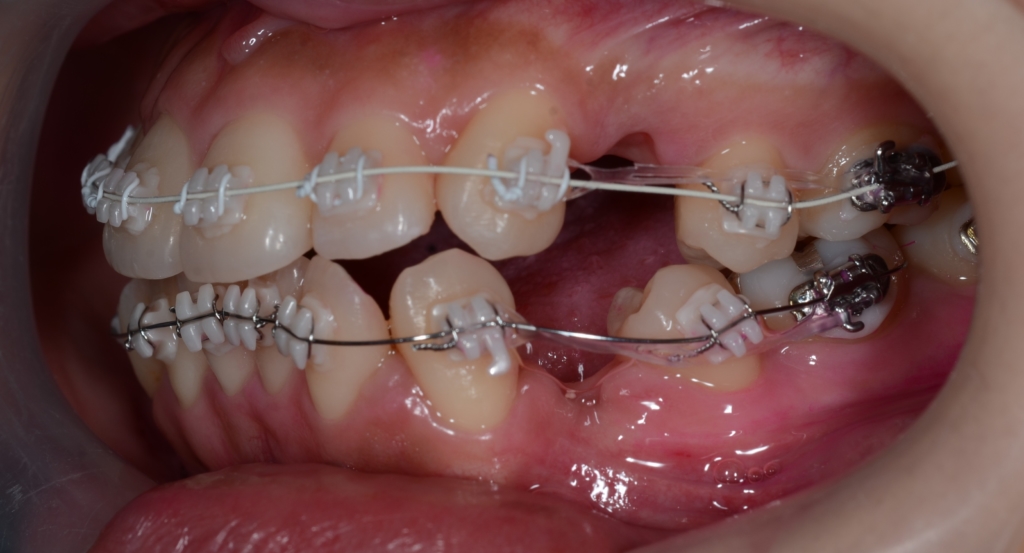
【治療装置】
マルチブラケットシステム(ハーフホワイトtype)で矯正を開始。


順当に矯正治療は進んで、前歯を奥へ引っ込めるステップに入りました。
上下とも前歯を奥へ出来るだけたくさん引っ込めるよう治療を進めます。


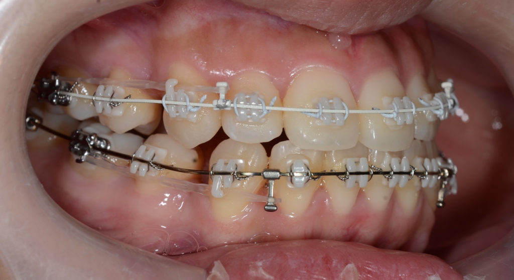
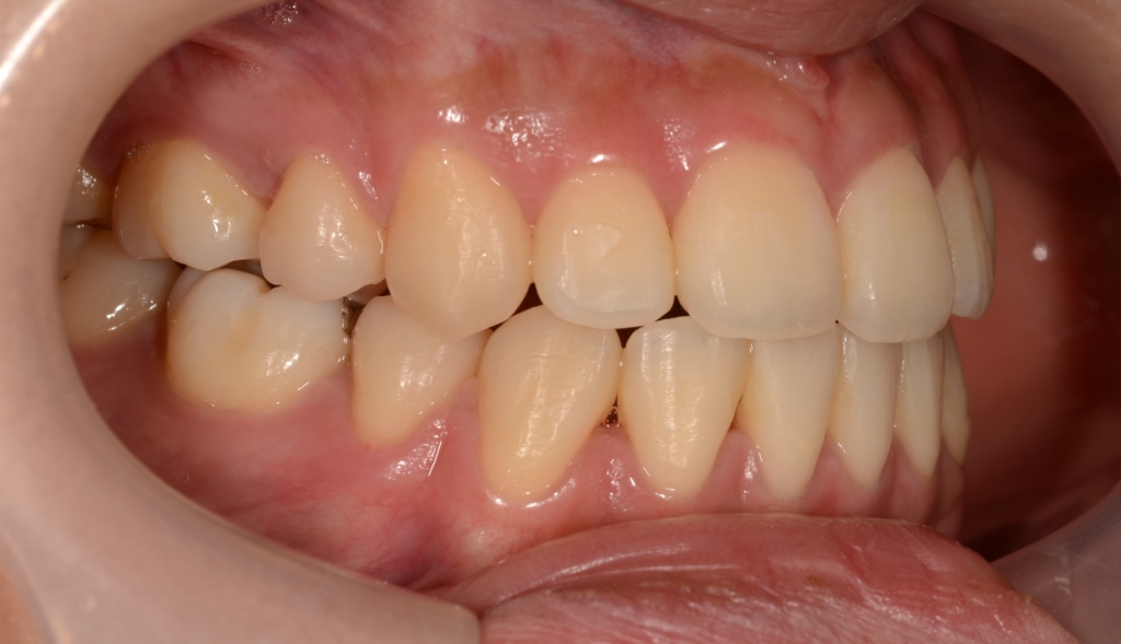
治療は進み、前歯が引っ込んで、かつ、しっかり噛めて問題ないのですが、唯一上下の正中(真ん中)がズレている状況でした。

そこで、真ん中を合わせるために、口蓋にアンカースクリューを植立して「力」を加えることにしました。

約2か月、期間を空けてアンカースクリューが落ち着いたところで、PLASという付属品を付けて、上下の正中を合わせるように試みます。

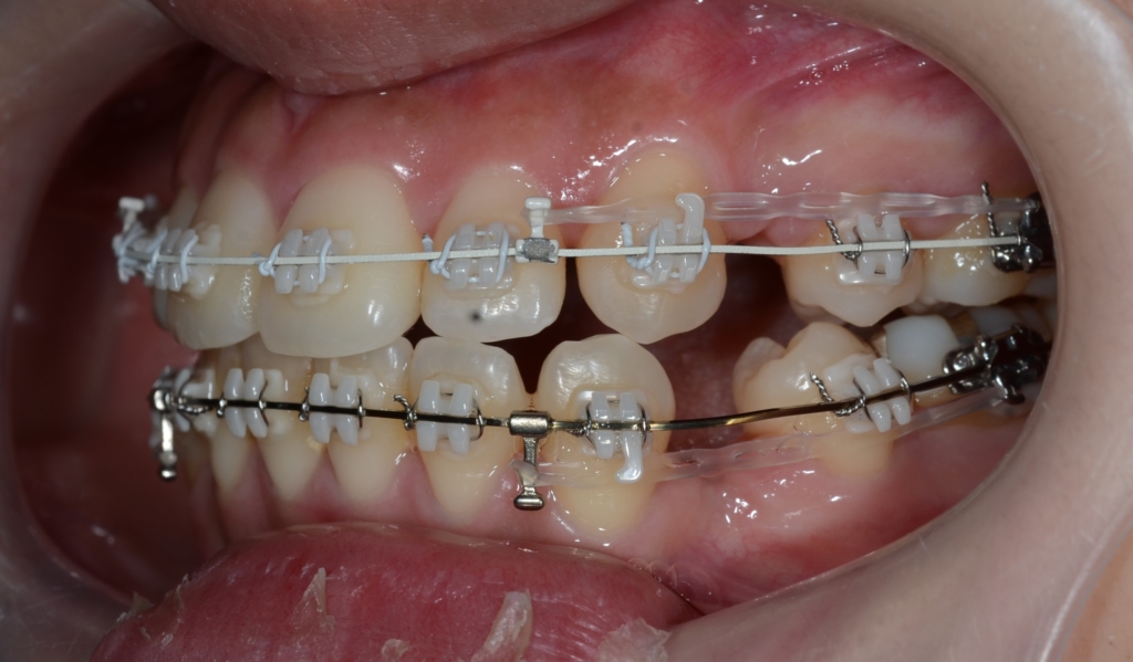
治療により正中は合うのですが、仕上げのために他の微調整をしていると、気付いたらまた正中がズレる・・・
他のやり方でと考え、従来よく用いられて顎間ゴムを約3か月間行い正中を合わせても、また・・・
という状況が繰り返されました。
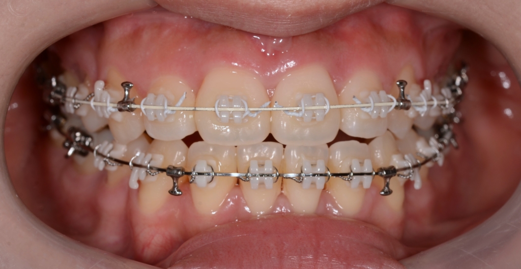
患者さんの方から、「見た目は大満足!だし、噛み合わせもズレていると言うが何の問題もなく美味しくご飯を食べられている! ココまで来たら早く矯正装置を外したい。」という優しい言葉があり、忸怩たる思いはありましたが、甘えることにしました。
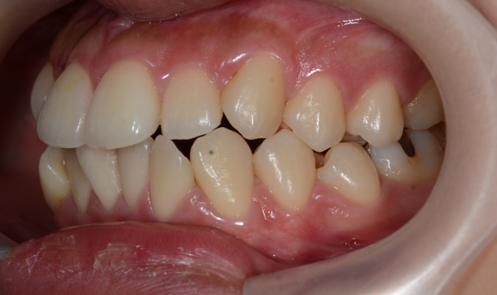
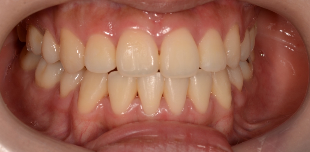
【After】








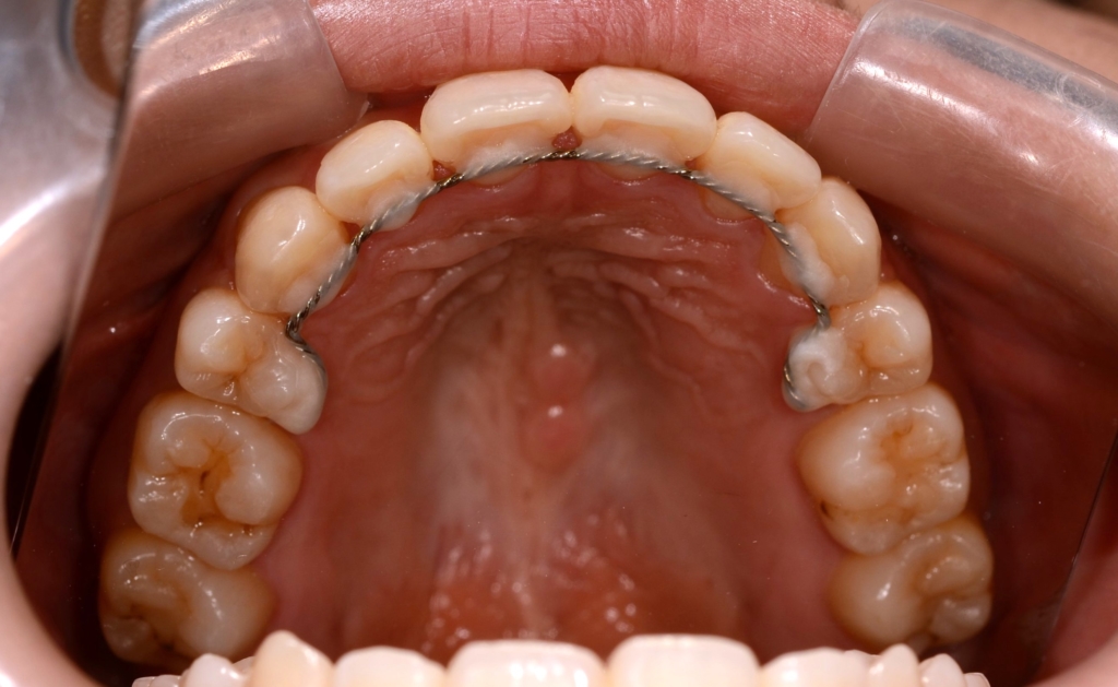
【保定】 上下ともフィックスタイプ&クリアリテーナー
【治療期間】 2年1か月間
【治療費用】 82万8千円
ハーフホワイトtypeのマルチブラケットシステム
アンカースクリューを2本
矯正治療の結果、Eラインに.しっかり収まりました。
口元の下口唇部を中心とした突出感(口ごぼ)は無くなり、狙い通りに口元をスッキリさせることが出来たように思います。 横顔も締まった良い感じに収まったように思えます。
それに伴い、お口を閉じる時の口元の緊張も消失して、楽にお口を閉じれるようになりました。
参考までに、矯正治療の前後を比較してみましょう。
まずは、横顔と口元の比較です。

左側が矯正治療前、右側が矯正治療後

左側が矯正治療前、右側が矯正治療後
矯正後は、口元全体の突出感も無くなりました
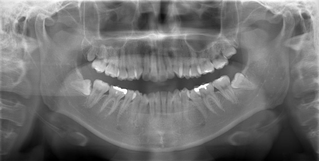
レントゲン写真でも比較してみましょう

左側が矯正治療前、右側が矯正治療後
ついでに、歯並びの比較です

上段が矯正治療前、下段が矯正治療後


























