出っ歯とデコボコを治したい

上段が矯正治療前、下段が矯正治療後

左側が矯正治療前、右側が矯正治療後
・・・・・・・・・・・・・・・・・・・・
患者さんは、20代の女性(社会人)です。
「出っ歯を引っ込めて、凸凹をきれいにしたい!」
口を閉じるのに力が要るので楽にしてると口唇の間から前歯が見えてしまうのと、上の前歯をもっと真っ直ぐにしたい・・・という希望もありました。
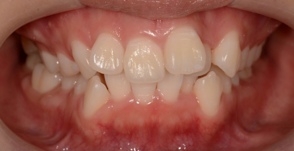
【Before】







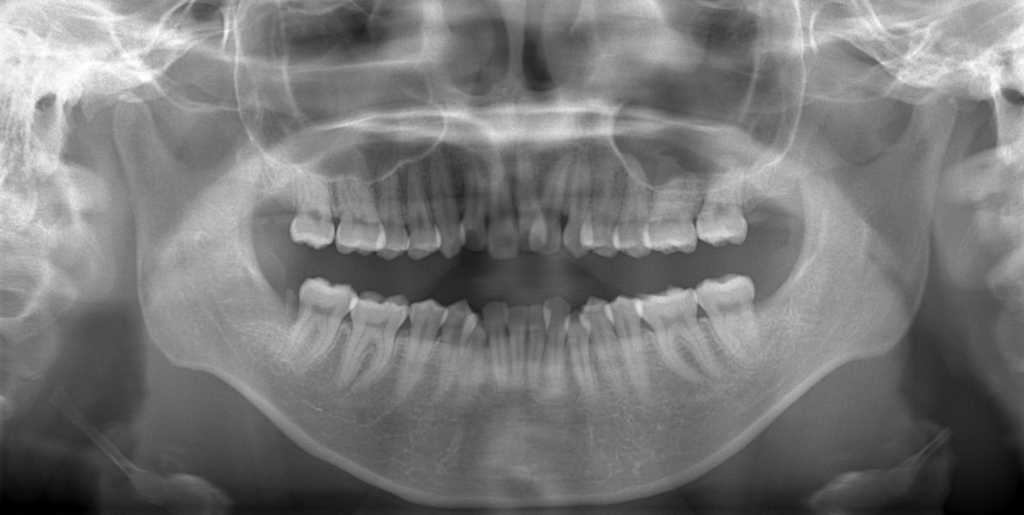
レントゲン写真で確認すると、


この患者さんの場合、
【診断】
#1.(歯列の前方位による)上顎前突
#2.歯と顎の不調和による叢生(中等度)
と診断しました。
【治療方針】
1.上下の左右の奥歯を1本ずつ(計4本)抜歯をしてスペースを作り、
上下の前歯をきれいに並べる
2.次いで、残る隙間分、前歯を最大限に後方へ引っ込める
という治療計画の下、矯正を進めることにしました。
【治療装置】
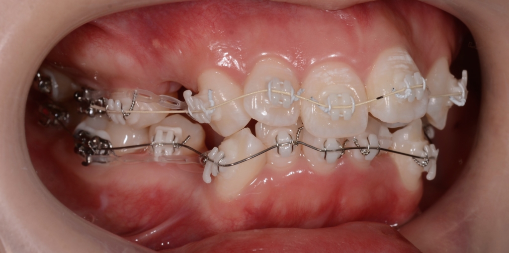
マルチブラケットシステム(ハーフホワイトtype)で矯正治療を開始。


前歯の乱れが解消され、きれいに並んだので、次のステップに入ります。
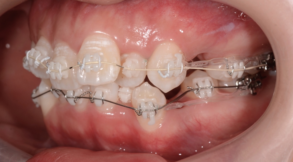
上下とも前歯を後方へ最大限に引っ込めて行きます

この方の写真が見つからないので、同じことをしている方の写真をイメージ写真としてあげています

【途中経過】 当初に抜歯をして出来たスペース分は、しっかりと引っ込めることが出来ました。
ただ、元の噛み合わせが出っ歯だったので、「出っ歯」が残ってしまいました。

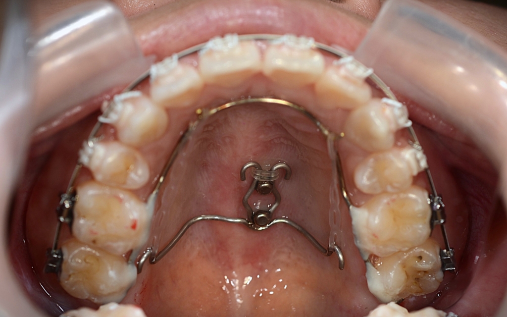
そこで、アンカースクリューを追加して更に引っ込めることにしました。
上顎の口蓋の中央部に2本植立しました。

上顎のアンカースクリューにはPLAS & 奥歯の内側にはパラタルバーを付けて、上の歯列(歯並び全体)を出来るだけ後方へ引っ込めて行く「矯正力」を加えて、治療を再開しました。

【After】







矯正後の状態をレントゲン写真で確認すると、

【保定】 上下ともフィックスタイプ&クリアリテーナー
【治療期間】 2年5カ月間
【治療費用】 円
・ハーフホワイトtypeのマルチブラケットシステム
・アンカースクリューを2本
・PLAS&パラタルバーを使用 【抜歯】
上下の左右の奥歯を1本ずつの計4本を抜歯
歯並びがキレイになったことはもちろん、口元や横顔もスッキリさせることができました。
Eラインに収めることは出来ませんでしたが、お口を閉じる時の緊張もほぼ無くなり、「楽にお口を閉じることが出来るようになった!」と喜んでもらえました。
最後に、矯正治療前後の「歯並び」、「レントゲン写真」と「横顔と口元の写真」の比較をお見せしましょう。
先ずは。歯並びの比較から。

次に、レントゲン写真と横顔や口元の比較です。


口元もかなりスッキリしました

オトガイ部にわずかに緊張が残っていますが、お口も楽に閉じられるようになりました
色々ありましたし、頑張ってももらいましたが、患者さんにもとても満足してもらえました♪























