出ている口元を引っ込めたい

ここでは、この方の治療の詳細について記していきます。
・・・・・・・・・・・・・・・・・・・・
患者さんは、20代の女性(学生)です。
「出ている口元を引っ込めて、口ごぼをきれいにしたい。」
口を閉じるのに力が要り下顎の先端に梅干し様のシワができるのと、奥歯がデコボコ歪んでいるのも合わせてキレイにしたいという希望でした。
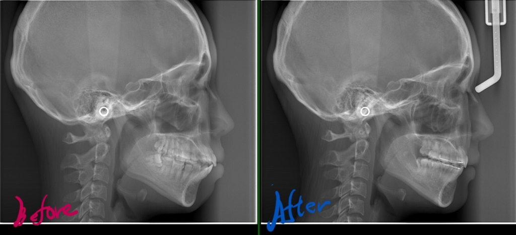
【Before】






レントゲン写真で確認すると、


この患者さんの場合、
【診断】
「歯列の前方位による上下顎前突」
「歯と顎の不調和による上下の叢生」
と診断しました。
【治療方針】
1.上下の左右の奥歯を抜歯をしてスペースを作り全体に歯並びを整える
2.次いで、上下の前歯を最大限に後方へ移動 (その際、上の奥歯にはアンカースクリューを併用)
という治療計画にて、矯正を進めることにしました。
【抜歯】
左上は完全に内側に転位してる歯を含め2本、右上と下の左右は各々1本ずつ、計5本を抜歯
(後日、早い時点で智歯4本も全て抜歯)
【治療装置】
マルチブラケットシステム(ストレートワイヤー:ハーフホワイトtype)で矯正を開始。


*ハーフホワイトtype:上下とも歯の表側に白いブラケットを付けて、上には白いワイヤー&下には銀色のワイヤーを用いたストレートワイヤーによる歯列矯正
*この方においては、上顎の奥歯にアンカースクリューを植立して使用しました。(赤い丸で囲んだ中にあるネジのようなモノがアンカースクリューです)

【途中経過】 治療途中で、上の歯列にまだ隙間が残るのに、下の歯列にはもう隙間が無い、という状況になりました。 そこで、もともと下の智歯があった位置にアンカースクリューを左右1本ずつ植立して、それを支えとして下の歯並び全体を後方へ更に引っ込めることで、上の前歯を最大限に奥へ引っ込めることにしました。 (赤い丸で囲んだ中にあるネジのようなモノがアンカースクリューです)

【After】






矯正後の状態をレントゲン写真で確認すると、

【保定】 上下ともフィックスタイプ&クリアリテーナー
【治療期間】 2年1か月間
【治療費用】 83万9300円
(ハーフホワイトtypeのマルチブラケットシステム、アンカースクリューを4本、使用) 歯並びがキレイになったことはもちろん、口元や横顔もとてもスッキリさせることができました。 いわゆるEラインに収めることも出来ました。 また、オトガイ部の緊張もほぼ消えて、以前あったシワも無くなり、お口を閉じるのも楽になったようです。
参考までに矯正治療前後の「レントゲン写真」と「口元の写真」を比較してみましょう。 見て一目瞭然に違いが分かると思います。



卒業後も3か月間ほど遠距離から通院していただきました。ご苦労様でした。
今後もさらに自分に自信をもって新天地での生活に頑張ってください!

























