上の前歯が飛び出て、しかも凸凹もあるんです・・・


ここでは、この方の治療の詳細について記していきます。
・・・・・・・・・・・・・・・・・・・・
患者さんは、10代の男性(学生)です。
「上の2本の前歯が飛び出ているし、前歯全体がガタガタしているのをキレイにしたい」
という希望でした。
【Before】







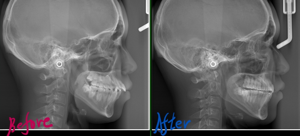
レントゲン写真で確認すると、


この患者さんの場合、
【診断】
#.顎と歯の不調和による叢生
と診断しました。
臼歯の咬合関係は特に問題なし。
【治療方針】
1.上下の左右の奥歯を抜歯をしてスペースを作り、前歯をきれいに並べる
2.残る隙間分を出来るだけ後方に移動
という治療計画にて、矯正を進めることにしました。
【抜歯】
上下の左右の奥歯を1本ずつ計4本抜歯(4番目の奥歯を抜きました)
埋まっている智歯は、上だけ早期に抜歯をしました。 下は経過観察です。
【治療装置】
マルチブラケットシステム(ハーフホワイトtype)で矯正を開始。


*ハーフホワイトtype:上下とも歯の表側に白いブラケットを付けて、上には白いワイヤー&下には銀色のワイヤーを用いたストレートワイヤーによる歯列矯正
【5か月経過】
上下とも前歯は何とかココまで並びました。




先ず、前歯の乱れを無くすために抜歯スペースを使います。 そのため、叢生の患者さんの場合、どうしても前歯を引っ込めるスペースが減少します。
それでも前歯を出来るだけ後方へ移動させ、残る隙間を閉じていきました。
特に、飛び出ているように見える上の前歯の唇側傾斜を、可及的に直立させるよう意識しました。
【After】








【保定】 上下ともフィックスタイプ&クリアリテーナー
【治療期間】 約2年間
【治療費用】 78万4300円
(ハーフホワイトtypeのマルチブラケットシステム)
あらためて、矯正治療前後の歯並びと口元の変化を比べてみましょう。



治療後には、オトガイ部にあった梅干し状のシワが無くなっていることが分かります
レントゲン写真でも比較してみましょう

矯正治療により、きれいな歯並びと良い噛み合わせを獲得することが出来ました。
口元も当初の予想以上にスッキリさせることが出来ました。
また、この患者さんの場合、治療を開始して1年ぐらいした時点からいろいろと事情があり、数か月に一度の来院しか出来なくなったじきがありました。 それが無ければ、もっと早く治療を終えることが出来たかもしれません。

























