出っ歯と下の奥歯のガタガタを治して、口元もスッキリしたい!


矯正後は出っ歯が治ったことにより鼻唇角が開き、口元がとてもスッキリしました
ここでは、この方の治療の詳細について記していきます。
・・・・・・・・・・・・・・・・・・・・
患者さんは、20代の女性(会社員)です。
「出っ歯を引っ込めて、下の奥歯のガタガタもきれいにしたい!」
口元が少しでも引っ込んでスッキリしてくれたら、もっと嬉しいという主訴でした。
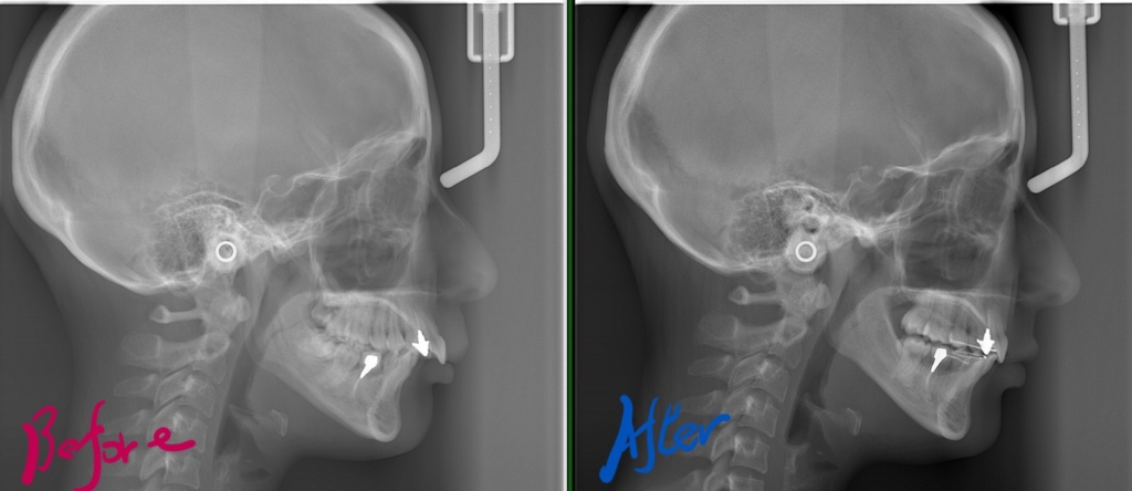
【Before】






レントゲン写真で確認すると、


この患者さんの場合、
【診断】
#1.過蓋咬合を伴う上顎前突
#2.歯と顎の大きさの不調和による下顎臼歯部の叢生
と診断しました。
【治療方針】
1.上の左右の奥歯を抜歯をしてスペースを作り、上の前歯を最大限に後方へ移動
2.そのためにアンカースクリューを併用する
3.左下は歯列内に隙間が無く並んでいるので、舌側転位した小臼歯を抜歯
4.右下は智歯を抜歯して大臼歯を奥へ移動して、舌側転位した小臼歯を歯列に加える
5.他の智歯も早めに抜歯
という治療計画にて、矯正を進めることにしました。

【抜歯】
上の左右の奥歯を1本ずつ計2本抜歯(4番目の奥歯を抜きました)
左下の内側に倒れた奥歯(5番目)と下の左右の智歯を抜歯しました。
智歯も合わせて抜歯。
【治療装置】
マルチブラケットシステム(スタンダードtype)で矯正を開始。
アンカースクリューを2本使用
【矯正治療開始】
まずは、叢生の改善と、咬合の挙上を図ります。


【経過】
上の奥歯にアンカースクリューを植立して、そこから「力」を加えて前歯を最大限に引っ込めるようにしました。



【After】







矯正後の状態をレントゲン写真で確認すると、

【保定】 上下ともフィックスタイプ&クリアリテーナー
【治療期間】 約3年間
【治療費用】 77万円
スタンダードtypeのマルチブラケットシステム
アンカースクリューを2本使用
矯正治療の結果、上の前歯が引っ込んで鼻唇角が開いて大きくなり、上唇辺りにあったボテッとした感じも無くなりました。 また、上の前歯により下へ押されて90度屈曲してた下唇も伸びました。 結果として口元を非常にスッキリさせることが出来たように思います。
参考までに、矯正治療の前後を比較してみましょう。
まずはレントゲン写真からです。

口元と横顔も矯正治療前後で比較してみましょう。

矯正後は出っ歯が治ったことにより鼻唇角が開き、(矯正前は)折れ曲がっていた下唇も延びて、
口元がとてもスッキリしました



























