八重歯を治して、口元も引っ込めたい!


ここでは、この方の治療の詳細について記していきます。
・・・・・・・・・・・・・・・・・・・・
患者さんは、20代の女性(会社員)です。
「前歯のガタガタ(八重歯など)をきれいにして、可能なら口元も引っ込めたい!」
という希望でした。
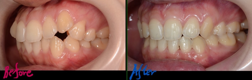
【Before】








左側の赤い線で囲んだ状態が、上の奥歯が外を向いたシザースバイトです。
本来は、右側の緑の線で囲んだ状態が普通の噛み合わせです。
レントゲン写真で確認すると、


この患者さんの場合、
【診断】
#1.歯と顎の不調和による上下の叢生
#2.右側最後臼歯のシザースバイト
#3.歯列の前方位による(歯槽性)上下顎前突
と診断しました。
【治療方針】
1.まず、右の奥歯のシザースバイトを改善させる
2.上下の左右の奥歯を抜歯をしてスペースを作り、前歯部の叢生を改善
3.残る隙間を利用して、上下の前歯を最大限に後方へ移動
(そのためにアンカースクリューを併用)
という治療計画にて、矯正を進めることにしました。
【抜歯】
上下の左右の奥歯を1本ずつ計4本抜歯(4番目の奥歯を抜きました)
【治療装置】
延長パラタルバー
マルチブラケットシステム(ハーフホワイトtype)で矯正を開始。
【治療開始】
先ずは、右側の奥歯の「シザースバイト」を延長パラタルバーを用いて改善することから始めました。
シザースバイトの改善後に、あらためて便宜抜歯を行い、歯の表側に白い矯正装置(ブラケット)を装着しました。



*ハーフホワイトtype:上下とも歯の表側に白いブラケットを付けて、上には白いワイヤー&下には銀色のワイヤーを用いたストレートワイヤーによる歯列矯正
【途中経過】
前歯がきれいに並んだので、上顎臼歯部にアンカースクリューを植立しました。

この方の写真を探したのですが見つからず、全く同じことをしているイメージ写真で代用しています。
赤丸の中にアンカースクリューがあります
上の歯では、アンカースクリューから力を加えて前歯を引っ込ませます。
下の歯では、従来法で前歯を引っ込ませていきます。

この方の写真を探したのですが見つからず、同じことをしているイメージ写真で代用しています。
【After】







矯正後の状態をレントゲン写真で確認すると、

【保定】 上下ともフィックスタイプ&クリアリテーナー
【治療期間】 約2年間
【治療費用】 83万円
矯正治療の結果、口元や横顔も当初と比べて一段とスッキリさせることができました。 口元もEラインの内に収めることも出来ました。
参考までに、矯正治療の前後を比較してみましょう。
まずはレントゲン写真から。

お顔も矯正治療前後で比較してみましょう。


矯正後は、口元がよりスッキリ!したことが分かると思います。


























