前歯の凸凹をきれいにしたい

・・・・・・・・・・・・・・・・・・・・
患者さんは、20代の女性(社会人)です。
「八重歯などのガタガタを治してきれいな歯並びになりたい!」
というのが一番の希望でした。
合わせて、口元が少しでも引っ込んで、お口を閉じる時にオトガイ辺りの「力」が抜けてしわが無くなればもっと嬉しい!とのことでした。
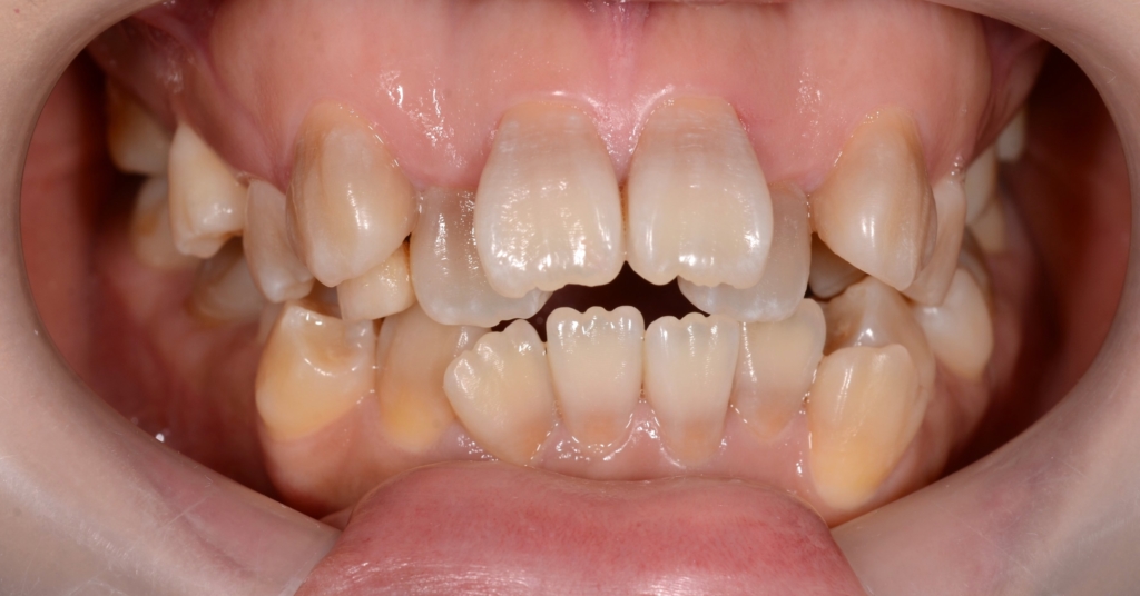
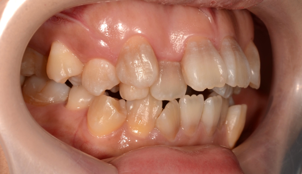
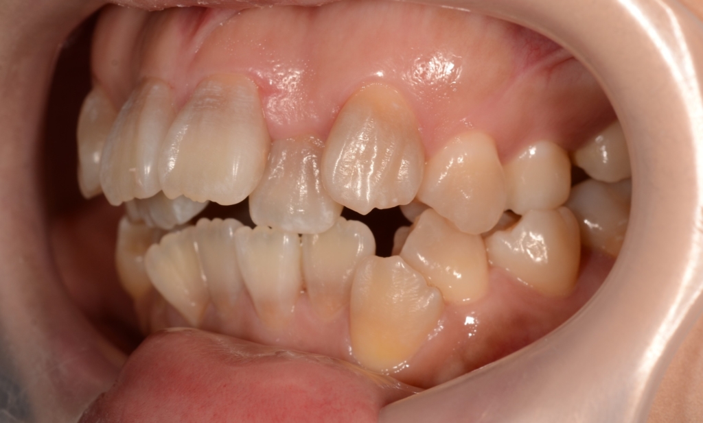
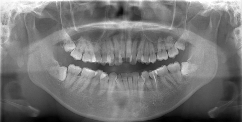
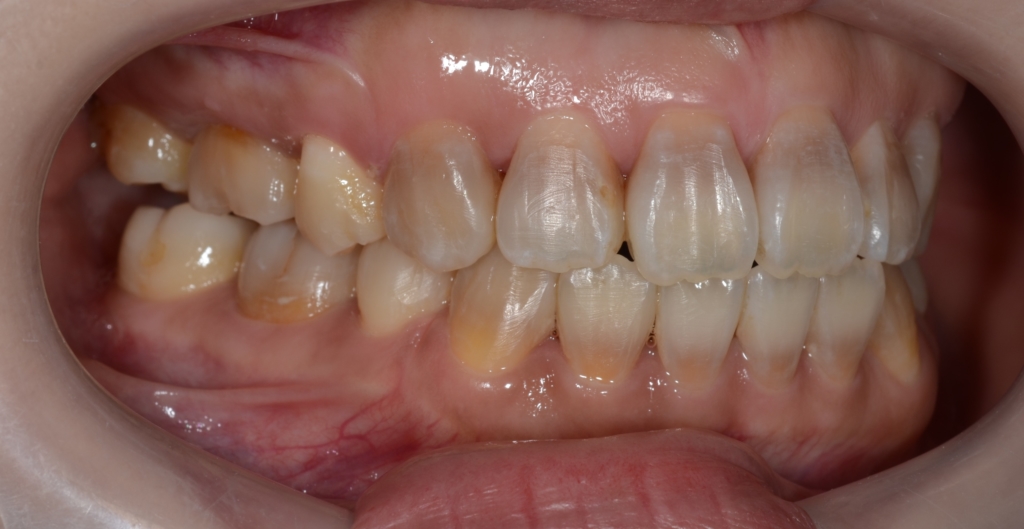
【Before】







(青い線で囲まれた部分ですね)
レントゲン写真で確認すると、


この患者さんの場合、
【診断】
#1.顎と歯の不調和による叢生(重度)
#2.上顎前突(出っ歯)
#3.開口
と診断しました。
【治療方針】
1.上下の左右の奥歯を抜歯をしてスペースを作り、前歯をきれいに並べる
2.残る隙間分は、
上顎では、できるだけ前歯を奥へ引っ込める
下顎では、前歯できるだけ奥へ引っ込めて隙間を閉じる
3.必要なら、上の歯並び全体をプラスアルファ―奥へ引っ込める
という治療計画にて、矯正を進めることにしました。
【抜歯】
上下の左右の奥歯を1本ずつ計4本抜歯(4番目の第一小臼歯を抜きました)
(上下左右の奥に埋伏している智歯は、治療が始まった後に抜歯予定です)
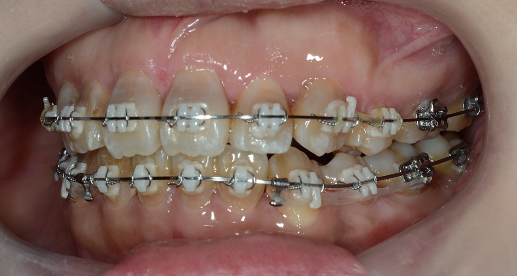
【治療装置】
マルチブラケットシステム(スタンダード type)で矯正を開始。


先ず、上下とも前歯の凸凹の歯並び(叢生)の解消を図ります。
その後、前歯がきれいに並んだら、可及的に奥へ引っ込めながら残る隙間をなくしていきます。


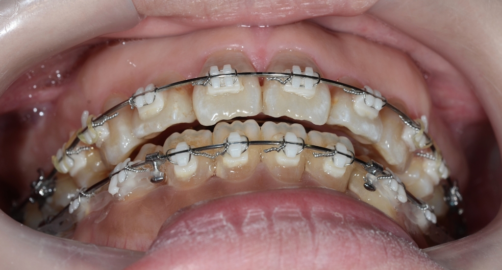
【まだ出っ歯が残る】
前歯のガタガタ(叢生)を解消してきれいに並べて、できるだけ引っ込めたのですが、元々の噛み合わせが上顎前突であったため、どうしても出っ歯が残ってしまいました。
単純に歯並びと噛み合わせを治すだけなら、やりようはあったのですが、できるだけ口元も引っ込めてあげたい!という願いがあったので、引っ込められる分引っ込めて足りない分は後で歯並びごとプラスアルファ―引っ込めよう!という作戦で進めています。



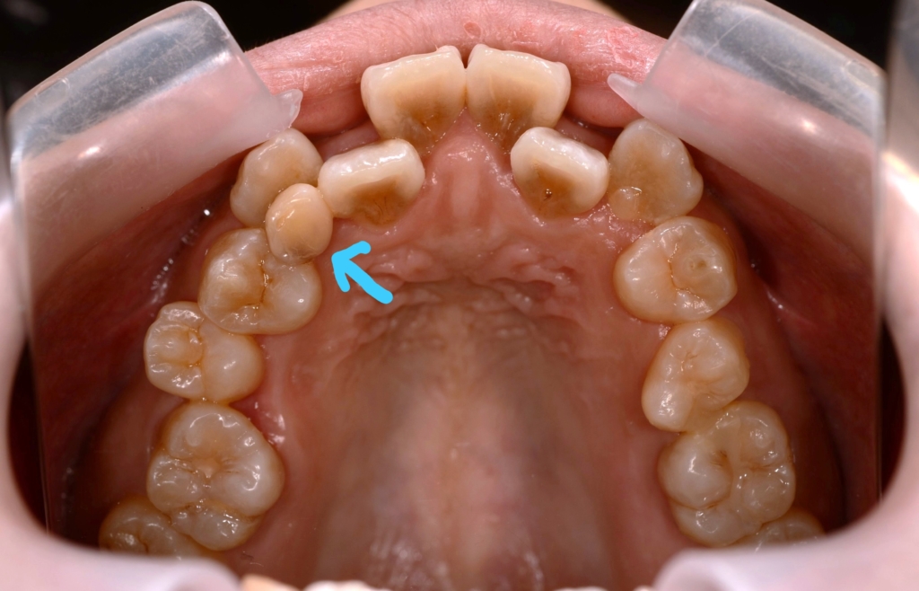
予定通り上顎の口蓋にアンカースクリューを植立しました。

あらためて上顎に、「PLAS」と「パラタルバー」を装着して、上の歯列全体を後方へ押して引っ込めて行きます。

最終的に仕上げの微調整をして・・・
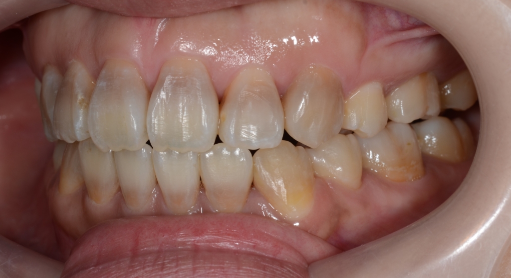
【After】

「もう十分です」という患者さんの声に許してもらいました







【保定】 上下ともフィックスタイプ&クリアリテーナー
【治療期間】 2年3カ月間
【治療費用】 81万6千円
・スタンダードtypeのマルチブラケットシステム
・アンカースクリュー(2本)
・PLAS & パラタルバー
あらためて、矯正治療前後の歯並びと口元の変化を比べてみましょう。
まずは、歯並びの変化です。

レントゲン写真でも矯正治療前後を比較してみましょう

矯正治療前後の横顔と口元を比較してみましょう。


口元がスッキリして、オトガイにあった梅干し状のシワもほぼ無くなりました
今回は、歯並びをきれいにすることが一番! 口元の変化はあわよくばを狙った二番!でしたが、
歯並びはもちろん、口元もスッキリさせることが出来ました。
お口を閉じるのも、とても楽になった!と合わせて喜んでもらいました。






















