前歯のガタガタをきれいにして、口ゴボも引っ込めたい


ここでは、この方の治療の詳細について記していきます。
・・・・・・・・・・・・・・・・・・・・
患者さんは、20代の女性(社会人)です。
「前歯のガタガタをキレイにして、
出ている口元を引っ込めて、口ごぼをきれいにしたい。」
という希望でした。
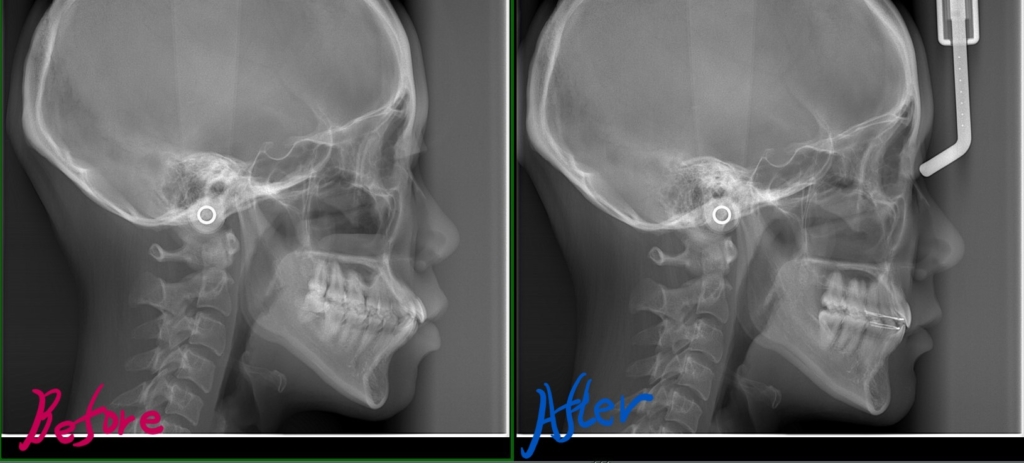
【Before】







レントゲン写真で確認すると、


この患者さんの場合、
【診断】
#1.歯列の前方位による上下顎前突
#2.歯と顎の不調和による上下の叢生
と診断しました。
【治療方針】
1.上下の左右の奥歯を抜歯をしてスペースを作り全体に歯並びを整える
2.次いで、上下の前歯を最大限に後方へ移動
3.必要なら、上下歯列とも更に後方へ移動 (その際にはアンカースクリューを併用)
という治療計画にて、矯正を進めることにしました。
【抜歯】
上下左右の各々1本ずつ、計4本を抜歯
(後日、早い時点で智歯4本も全て抜歯)
【治療装置】
マルチブラケットシステム(ストレートワイヤー:スタンダードtype)で矯正を開始。


*スタンダードtype:上下とも歯の表側に白いブラケットを付けて、上下とも銀色のワイヤーを用いたストレートワイヤーによる歯列矯正
*この方の場合、「口元を引っ込めたい!」のですから、普通なら最初からアンカースクリューを用いて矯正治療を始めます。 しかし、上の奥歯において歯根の近接具合や上顎洞の奥歯への嵌入具合により通常通りのアンカースクリューの植立が不可能でした。
そこで、従来法(アンカースクリュー無し)でまずは出来るだけ引っ込めて、足りない分を後日のアンカースクリューの併用によりリカバリー及びプラスアルファ―の動きをさせよう!という選択をしました。
【途中経過】
抜歯スペース分をすべて使い、歯並びをきれいにして、前歯を最大限に後方へ引っ込ませました。 現時点でココまで変化しました。

矯正を始める前の時点と治療途中の時点をレントゲン写真で比較してみると、

残念ですが、口元はあまり明確な変化は見られません
最初の時点と比べて、口元も少しは引っ込んだように見えますが、変化はそこまでありません。
その理由は、、、
先ず、歯並びの乱れをキレイにすることに抜歯スペースを使い、余ったスペース分だけ前歯を引っ込める、というように治療を進めて行かざるを得ません。 そうなるとどうしても前歯を後方(奥)へ引っ込める量、ひいては口元の変化量が減ってしまうのです。
そこで今回は、もう少し引っ込ませたい分をアンカースクリューを併用して歯列を丸ごと後方へ移動させ(引っ込ませて)、口元をもっとスッキリと変化させよう!という治療プランを実行することにしました。
上顎の真ん中(口蓋部分)と、下顎の智歯を抜いた跡に、アンカースクリューを植立しました。

赤色の丸で囲んだ中にあるネジが下顎の智歯抜歯跡に植立したアンカースクリューです

あらためて、
上顎ではPLASとパラタルバーを利用して、下顎では直接、各々アンカースクリューから力を加えて、上下の歯列全体をさらに奥へ引っ込ませるべく、治療を進めました。





治療後半で、仕上げとして顎間ゴムを2か月間使用しました。
【After】







矯正後の状態をレントゲン写真で確認すると、

【保定】 上下ともフィックスタイプ&クリアリテーナー
【治療期間】 約3年間
【治療費用】 82万8500円
(スタンダードtypeのマルチブラケットシステム
アンカースクリューを4本
PLAS&パラタルバー を使用)
歯並びがキレイになったことはもちろん、口元や横顔もとてもスッキリさせることができました。 いわゆるEラインに収めることも出来ました。
参考までに矯正治療前後の歯並びや横顔・口元、レントゲン写真を比較してみましょう。
先ずは、歯並びの比較です

次は、横顔や口元ですね


最後に、レントゲン写真です

今回の治療を振り返り、
抜歯スペース分だけを利用した八重歯などを治してだけでは、歯並びはきれいになったけれども、口元の変化は今一つでした。
しかし、上下の歯列をさらに奥へ移動させることで、口元を更に変化させることが出来ました。
その変化をレントゲン写真で追ってみましょう。


治療期間も延びて患者さんも大変だったとは思いますが、アンカースクリューを上手く使うことで、満足のいく結果になったのではないかと思っています。 ご苦労様でした。。。

























